Download

ORIGINAL ARTICLE

Polyphyllin II inhibits NLPR3 inflammasome activation and inflammatory response of Mycobacterium tuberculosis–infected human bronchial epithelial cells

Guodong Chenga, Gengzhi Yea*, Ying Mab, Yuqing Wanga

aRespiratory Department 1, The Fourth People’s Hospital of Qinghai Province, Xining City, Qinghai Province, China

bRespiratory Medicine Department, Qinghai Provincial Cardiovascular Specialized Hospital, Xining City, Qinghai Province, China

*Corresponding author: Gengzhi Ye, Respiratory Department 1, The Fourth People’s Hospital of Qinghai Province, No. 14 Nanshan East Road, Chengzhong District, Xining City, Qinghai Province, China. Email address: [email protected]

Abstract

Background: The bronchial infection by Mycobacterium tuberculosis (Mtb) is increasing in prevalence and severity worldwide. Despite appropriate tuberculosis treatment, most patients still develop bronchial stenosis, which often leads to disability. Polyphyllin II (PP2) is a steroidal saponin extracted from Rhizoma Paridis. In this study, we aimed to explore the effect of PP2 on the advancement of Mtb-induced bronchial infection.

Method: The effects of PP2 on cell viability were measured by using MTT and lactate dehydrogenase (LDH) kit. The mRNA and protein levels of tumor necrosis factor (TNF)-α, interleukin (IL)-1β, and IL-8 were elucidated by RT-qPCR and ELISA, respectively. The expression of NLR family pyrin domain containing 3 (NLRP3) related inflammasome (NLRP3, IL-1β, and cleaved-caspase-1) and the activated degree of protein kinase B (AKT)/nuclear factor-kappa B (NF-kB; p-AKT and p-NF-κB) were detected by Western blotting.

Results: PP2 at 0, 1, 5, and 10 μM had little cytotoxicity on 16HBE cells. PP2 inhibited Mtb-induced cell proliferation and decreased LDH levels. We further found that PP2 could suppress Mtb-induced inflammatory responses and activation of NLPR3 inflammasome. Additionally, the role of PP2 in Mtb is associated with the AKT/NF-kB signaling pathway.

Conclusion: PP2 inhibited Mtb infection in bronchial epithelial cells, by inhibiting Mtb-induced inflammatory reactions and activation of NLPR3 inflammasome. These effects may be exerted by suppressing the AKT/NF-kB pathway, which will provide a prospective treatment.

Key words: Bronchial Epithelial Cell, Inflammatory, Mycobacterium tuberculosis, NLPR3, Polyphyllin II

Received 20 September 2023; Accepted 7 November 2023; Available online 1 January 2024

DOI: 10.15586/aei.v52i1.998

Copyright: Cheng G, et al.
License: This open access article is licensed under Creative Commons Attribution 4.0 International (CC BY 4.0). http://creativecommons.org/licenses/by/4.0/

Introduction

Mycobacterium tuberculosis (Mtb) is an intracellular bacterium that causes leukopenia, tissue necrosis, and organ failure upon infection.1 Additionally, tracheobronchial tuberculosis, caused by Mtb, poses a significant challenge to worldwide health.2,3 Therefore, it is crucial to study the underlying process of Mtb infection in the tracheobronchial tree. Studies have revealed that Mtb could reduce the flow rate of bronchial mucus, decrease and even inhibit respiratory cilia swinging, and cause epithelial cell injury.4 Nevertheless, the precise mechanism of its infection is unclear.

Polyphyllin II (PP2) is a major saponin compound found in Rhizoma Paridis, which is extracted from the herb using methanol.5 PP2 is believed to have inhibitory effects on various types of cancer.6 For instance, PP2 could induce autophagy-mediated cell apoptosis in multiple myeloma cells by regulating the PI3K/AKT/mTOR signaling pathway.6 In lung cancer, PP2 inhibits cell proliferation and mobility by promoting apoptosis and suppressing epithelial–mesenchymal transition (EMT)-related pathways.7 PP2 can also induce ferroptosis in human liver cancer cells.8

Polyphyllin families have also been found to regulate excessive cell inflammatory responses. PP2 can participate in the amelioration of LPS-induced cellular inflammatory responses by downregulating IκB kinase, IκB, and p65/NF-κB pathway-associated molecules.9 PP1 improves collagen-induced arthritis by inhibiting inflammatory responses in macrophages via the NF-κB pathway.10 Inhibition of MAPK and NF-κB pathways by PP7 elicits anti-inflammatory responses.11

Current research has revealed that Mtb infection activates the NLRP3 inflammasome in cells, promoting the release of inflammatory factors.12 However, there are limited reports on the role of PP2 in tuberculosis, and its mechanism remains unclear.

Here, we found that PP2 inhibits the activation of NLRP3 inflammasomes and inflammatory responses in bronchial epithelial cells induced by Mtb by suppressing the AKT/NF-κB pathway, thus protecting bronchial epithelial cells from damage.

Method

Mtb infection and cell culture

The Mtb H37Rv strain was purchased from the American Type Culture Collection (ATCC, 25618D-2). 16HBE cells (#32011203, Melbourne, Australia, Sigma-Aldrich) were infected with Mtb at a multiplicity of infection (MOI) of 10:1 at 37°C in 5% CO2 for 24 h, and cells were then washed in PBS four times to remove the extracellular bacilli.

MTT assay

16HBE cells (2 x 104/well, 96-well plates) were cultured in RPMI-1640 with 100 μL of 10% FBS (Gibco, 10099141). MTT Assay Kit (MTT, Abcam, Cambridge, UK) was used according to the manufacturer’s instructions to assess cell viability, and microplate reader (Bio-Rad, Hercules, CA, USA) to evaluate cell absorbance at 450 nm.

Lactate dehydrogenase measurement

Cell death was assessed using the LDH Kit (#ab102526, Abcam). 16HBE (2 × 104) cells were cultured in 96-well plates. After 24 h of PP2 treatment, the chromogenic reagent supplied in the kit was added, and luminescent signals were quantified using a microplate spectrophotometer. The relative LDH release was determined using the following formula: LDH relative release (%) = (absorbance of the treated sample − absorbance of the sample’s control well) / (absorbance of the maximum enzyme activity of cells − absorbance of the sample’s control well) × 100.

RT-qPCR

Total RNA from 16HBE cells was extracted using TRIzol reagent, and its concentration was determined using a spectrophotometer (Thermo Fisher Scientific, Inc., MA, USA). Subsequently, it was reverse-transcribed using Transcriptor cDNA Synth Kit (Roche, USA). TNF-α primer: Forward: 5’-GAGCACTGAAAGCATGATCC-3’; Reverse: 5'-AAAGTGCAGCAGGCAGAAGA-3'; IL-1β primer: Forward: 5’-CACCTCTCAAGCAGAGCACAG-3’; Reverse: 5’-GGGTTCCATGGTGAAGTCAAC-3’; IL-8 primer: Forward: 5’-GAGAGTGATTGAGAGTGGACCAC-3’; Reverse: 5’-CACAACCCTCTGCACCCAGTTT-3’.

ELISA assays

Cells were centrifuged at 1500 g for 10 min at −4°C, and the supernatant was stored at −80°C. The levels of TNF-α, IL-1β, and IL-8 were determined using the commercial ELISA Ready-SET-Go kit (BD Biosciences, San Jose, CA, USA). These levels were measured by electrochemiluminescence immunoassays with the Roche Elecsys 1010 analyzer (Roche Diagnostics; Mannheim, Germany). The concentration of standards provided by the reagent kit and the detected optical density values were used to plot a standard curve.

Western blot

Cells were lysed with RIPA buffer (Beyotime, Shanghai, China), centrifuged for 10 min at 13,000 g to remove protein debris, and the protein concentration was quantified by the bicinchoninic acid kit (BCA; Beyotime, Shanghai, China). Equal amounts of proteins were divided by electrophoresis based on molecular weight. Subsequently, the protein strips were transferred to PVDF membranes using blocking technique by 5% non-fat dry milk for 1 h at room temperature. After washing with TBST, the membranes were incubated with the corresponding primary antibodies at 4°C overnight, treated with secondary antibodies at 37°C for 1 h, and the protein bands were identified by ECL detection technique (GE Healthcare, Piscataway, NJ, USA). Abcam applied specific primary antibodies NLRP3 (#ab263899, 1:1000), IL-1β (#ab241807, 1:1000), cleaved-caspase-1 (#ab207802, 1:1000), p-AKT (#ab38449, 1:1000), AKT (#ab8805, 1:1000), p-NF-κB (#ab239882, 1:1000), NF-κB (#ab288751, 1:1000), and β-actin (#ab8226, 1:1000). Anti-mouse (#4410, 1:10000) and anti-rabbit (#4414, 1:10000) peroxidase-conjugated secondary antibodies was acquired from Cell Signaling Technologies.

Statistical analysis

The data were statistically analyzed with SPSS 22.0 (IBM, Armonk, NY, USA). Differences between independent groups were examined by Student’s t-test. The differences between multiple groups were analyzed using ANOVA. The results of each experiment were presented as mean ± standard deviation (SD), and P < 0.05 was considered statistically significant.

Results

Polyphyllin II promotes the survival of Mtb-infected 16HBE cells

Initially, bronchial epithelial cells 16HBE were incubated and exposed to different concentrations of PP2 (0, 2.5, 5, 10, 20, and 40 μM) for 24h before estimating the cell viability (Figure 1A) and LDH activity (Figure 1B) via CCK-8 and LDH kit, respectively. The dose-dependent cytotoxicity of PP2 was evident on 16HBE cells. A substantial reduction of cell viability and increased LDH were observed at groups with 20 and 40 μM PP2 treatment (Figures 1A and 1B). Therefore, PP2 within the range of 0–10 μM were selected for subsequent studies. Furthermore, we analyzed the impact of PP2 on Mtb-infected 16HBE cells; a model was established by treating the 16HBE cells infected with Mtb with PP2. MTT assay showed that 16HBE cells exposed to Mtb alone had decreased cell viability (Figure 1C) and increased LDH level (Figure 1D), which demonstrated Mtb-impaired cell ability. However, Mtb-infected 16HBE cells treated with PP2 were significantly increased compared to Mtb group (Figure 1C) and decreased LDH level (Figure 1D) depending on increasing the PP2 concentration. Together, these findings revealed that PP2 could alleviate the impaired effects of Mtb on 16HBE cells and improve cell viability.

Figure 1 Polyphyllin II promotes the survival of Mtb-infected 16HBE cells. (A) MTT assay measured cell viability in 16HBE treated with different concentrations of PP2 (0, 2.5, 5, 10, 20, and 40 μM). (B) LDH kit detected LDH levels in different concentrations of PP2 (0, 2.5, 5, 10, 20, and 40 μM) treated 16HBE cells. (C) MTT assay measured cell viability in Mtb infection 16HBE cells treated with PP2 (0, 2.5, 5, and 10 μM). (D) LDH level was examined in Mtb infection 16HBE cells treated with PP2 (0, 2.5, 5, and 10 μM). The data are expressed as the mean ± SD. **p < 0.01, ***p < 0.001 vs 16HBE control group. #P < 0.5, ##P < 0.01, ###P < 0.001 vs Mtb-infected group.

Polyphyllin II inhibits Mtb infection-induced inflammatory responses in 16HBE cells

Using RT-qPCR (Figure 2A) and ELISA (Figure 2B) assays, we investigated the impact of PP2 on Mtb-related inflammation. These assays detected the mRNA and protein levels of proinflammatory factors (TNF-α, IL-1β, and IL-8), revealing that Mtb-infected cells produced more inflammatory cytokines, containing TNF-α, IL-1β, and IL-8. However, cotreated PP2 and Mtb-treated cells had the reverse effect (Figures 2A and 2B). These data indicated that PP2 could inhibit Mtb infection-induced inflammatory responses in 16HBE cells.

Figure 2 Polyphyllin II inhibits Mtb infection-induced inflammatory responses in 16HBE cells. (A) The mRNA expression of TNF-α, IL-1β, and IL-8 were examined by RT-qPCR. (B) The protein expression of TNF-α, IL-1β, and IL-8 were examined by ELISA. The data are expressed as the mean ± SD. ***P < 0.001 vs control. #P < 0.5, ##P < 0.01, ###P < 0.001 vs Mtb-infected group.

Polyphyllin II inhibits NLPR3 inflammasome activation in Mtb-infected 16HBE cells

NLRP3 inflammasome is involved in innate immune response, while its abnormal activation is often associated with various inflammatory diseases, including tubercular disease. As expected, western blot assay showed that Mtb infection can induce increased NLRP3 and cleaved-caspase-1 of 16HBE cells (Figure 3). Moreover, PP2 has been confirmed to significantly inhibit Mtb-induced NLRP3 inflammasome protein expression in a concentration-dependent manner. (Figure 3). In addition, IL-1β derived from inflammasome activation in Mtb-infected 16HBE was inhibited by PP2 (Figure 3). In summary, PP2 inhibited Mtb infection-induced activation of the NLRP3 inflammasome.

Figure 3 Polyphyllin II inhibits NLPR3 inflammasome activation in Mtb-infected 16HBE cells. Western blot evaluated the expression of NLRP3, IL-1β, proIL-1β, cleaved-caspase-1, and pro-caspase-1 in 16HBE cells. The data are expressed as the mean ± SD. ***P < 0.001 vs control. #P < 0.5, ##P < 0.01, ###P < 0.001 vs Mtb-infected group.

Polyphyllin II inhibits the AKT/NF-κB pathway

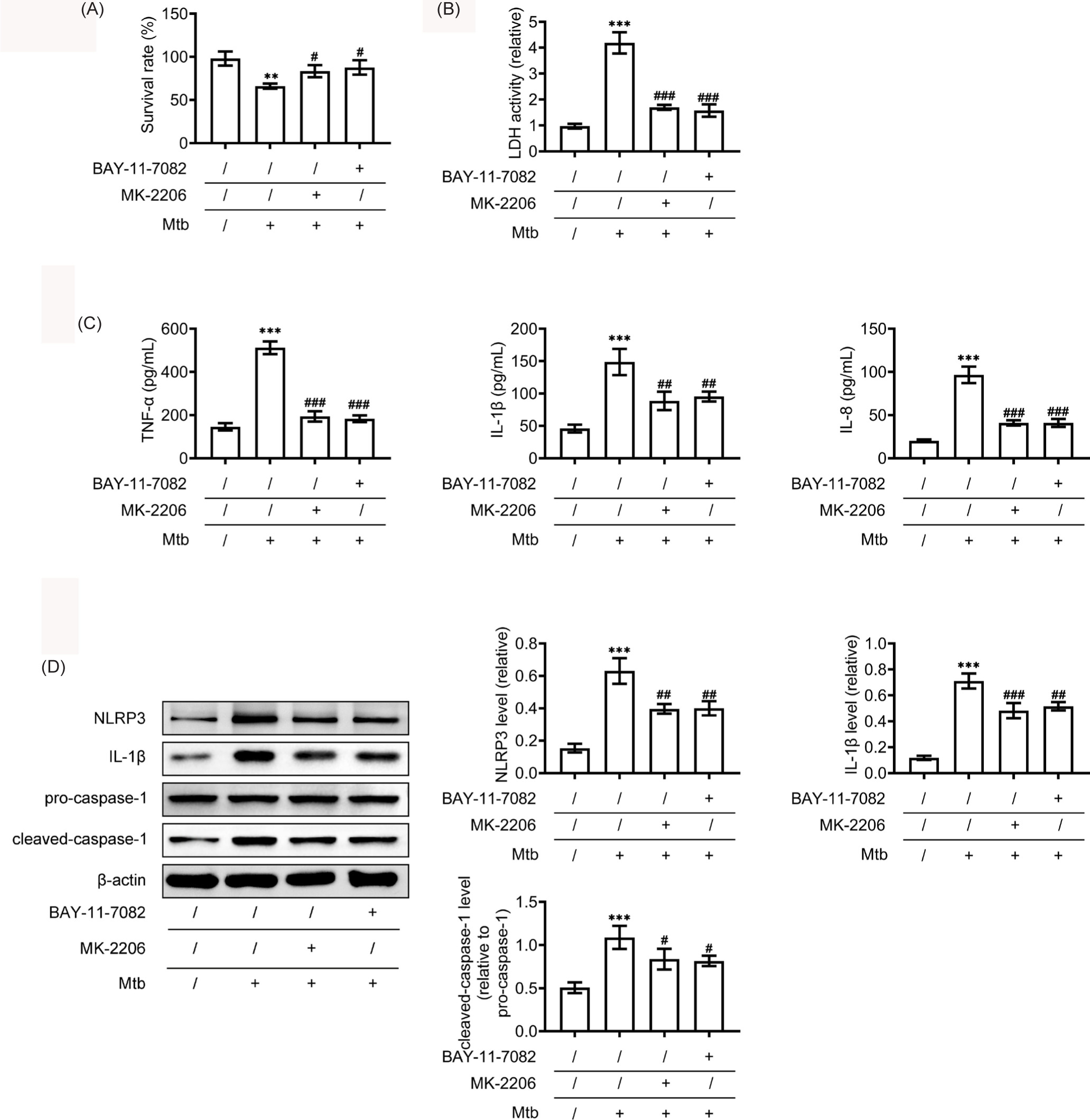
Phosphorylation of AKT/NF-kB is a crucial factor for cell inflammatory responses. To examine the signaling pathway involved in PP2-inhibited Mtb-induced inflammation, western blot was used, which measured the phosphorylation protein expression of AKT and NF-kB. Similar total protein amounts of AKT and NF-kB in all groups were observed. By contrast, compared with the control group, the protein levels of p-AKT and p-NF-kB were significantly increased in Mtb-infected cells (Figure 4). However, the levels of p-AKT and p-NF-kB were significantly decreased in the cotreated PP2 and Mtb group, compared to Mtb-treated cells (Figure 4). Furthermore, AKT inhibitor MK-2206 and NF-kB inhibitor BAY-11-7082 were used to treat Mtb-infected cells (Figure 5). As expected, MK-2206 or BAY-11-7082-treated cells exhibited lower cell survival and reduced LDH, TNF-α, IL-1β, and IL-8 levels, as well as decreased apoptosis (lower NLRP3 and cleaved-caspase-1) (Figure 5). These results indicated that PP2 can suppress AKT/NF-kB signaling in Mtb-infected 16HBE cells.

Figure 4 Polyphyllin II inhibits the AKT/ NF-κB pathway. Western blot evaluated the protein levels of p-AKT, AKT, p-NF-κB, and NF-κB in 16HBE cells. The data are expressed as the mean ± SD. ***P < 0.001 vs control. #P < 0.5, ##P < 0.01, ###P < 0.001 vs Mtb-infected group.

Figure 5 Polyphyllin II inhibits the AKT/ NF-κB pathway. (A) MTT assay measured cell viability in 16HBE cells. (B) LDH kit detected LDH levels in 16HBE cells. (C) The protein expression of TNF-α, IL-1β, and IL-8 were examined by ELISA. (D) Western blot evaluated the expression of NLRP3, IL-1β, proIL-1β, cleaved-caspase-1, and pro-caspase-1 in 16HBE cells. Cells were treated with control, Mtb, Mtb and MK-2206, and Mtb and BAT-11-7082. ***P < 0.001 vs control. #P < 0.5, ##P < 0.01, ###P < 0.001 βvs Mtb-infected group.

Discussion

Despite the development of chemotherapy and vaccine programs, tuberculosis (TB) is still a serious threat to the public health.13 The destruction of bronchial wall components during Mtb infection leads to airflow obstruction, chronic inflammation, bronchiectasis, and pneumonia. Furthermore, as a chronic infectious disease, Mtb infection can result in prolonged, non-resolving lung inflammation, possibly even causing metabolic, neuroendocrine, and cardiovascular issues.14 This Mtb-induced damage is an urgent issue to be resolved. However, the uses of anti-TB drugs are limited and have drug resistance, causing different degrees of toxic side effects. These challenges have the urge to find a novel therapeutic strategy.

Rhizoma Paridis, a prevalent traditional Chinese medicine, is known for its ability to alleviate heat, detoxify the body, and reduce swelling.5 Its primary chemical constituents, known as PP2, play a fundamental role in its therapeutic effects.15 In recent years, PP2 has been primarily utilized in cancer treatment due to its antitumor properties.16,17 Moreover, PP2 has been demonstrated to have various biological properties, particularly its significant enhancement of cell viability and its anti-inflammatory benefits. Here, we discovered that bronchial epithelial cells 16HBE exposed to Mtb alone have reduced cell viability and increased LDH level, while cotreated with PP2 significantly reversed these results in a PP2 concentration-dependent way.

The NLRP3 inflammasome consists of two primary parts: the NLRP3 receptor and caspase 1. Its activation involves two main phases: priming and activation. In the priming phase, the NF-κB-mediated activation of the signaling pathway causes high expression of pro-IL-1β and NLRP3. During activation, a series of signals, including different reactive oxygen species, promotes NLRP3 activation, leading to caspase 1 and pro-IL-1β cleavage, which ultimately lead to the assembly and activation of the inflammasome. Similarly, our findings suggested that PP2 could inhibit Mtb-induced proinflammatory production and NLPR3 inflammasome activation in 16HBE cells in a concentration-dependent manner.

Phosphorylation of AKT/NF-kB is involved in NLRP3 activation of inflammatory responses.1820 Further to investigate the mechanism of the effect of PP2 on Mtb-infected cells, we used western blot to measure the phosphorylation levels of AKT and NF-kB. Results indicated that PP2 might exert anti-inflammatory effects through down-regulation of the AKT/ NF-κB signaling pathway. There are some limitations in this study. We only performed cell experiments to identify the protective effects of PP2 on Mtb-infected bronchial epithelial cell. In further study, it will be verified on animal Mtb models.

In conclusion, the results indicated that PP2 enhances the survival of bronchial epithelial cells infected with Mtb, and these protective effects are achieved by suppressing the AKT/NF-κB pathway, leading to the inhibition of inflammatory factor release and NLRP3 inflammasome activation. Additionally, as a systemic chronic progressive disease, Mtb infection requires some physical therapy strategies, including exercise training, behavior management, and patient education.21

Acknowledgments

Not applicable.

Funding

No funding was used in this study.

Conflict of Interest

The authors state that there are no conflicts of interest to disclose.

Ethics Approval

This article does not contain any studies with human participants or animals performed by any of the authors.

Data Availability

The authors declare that all data supporting the findings of this study are available within the paper, and any raw data can be obtained from the corresponding author upon request.

Contribution of Authors

Guodong Cheng, Gengzhi Ye, Ying Ma, and Yuqing Wang designed the study and carried them out, supervised the data collection, analyzed and interpreted the data, prepared the manuscript for publication, and reviewed the manuscript draft. All authors have read and approved the manuscript.

REFERENCES

1. Parrish NM, Dick JD, Bishai WR. Mechanisms of latency in Mycobacterium tuberculosis. Trends Microbiol. 1998;6(3):107–12. 10.1016/s0966-842x(98)01216-5

2. Chai Q, Wang L, Liu CH, Ge B. New insights into the evasion of host innate immunity by Mycobacterium tuberculosis. Cell Mol Immunol. 2020;17(9):901–13. 10.1038/s41423-020-0502-z

3. MacLean E, Bigio J, Singh U, Klinton JS, Pai M. Global tuberculosis awards must do better with equity, diversity, and inclusion. Lancet. 2021;397(10270):192–3. 10.1016/S0140-6736(20)32627-1

4. Qiang L, Wang J, Zhang Y, Ge P, Chai Q, Li B, et al. Mycobacterium tuberculosis Mce2E suppresses the macrophage innate immune response and promotes epithelial cell proliferation. Cell Mol Immunol. 2019;16(4):380–91. 10.1038/s41423-018-0016-0

5. Wu Z, Zhang J, Xu F, Wang Y, Zhang J. Rapid and simple determination of polyphyllin I, II, VI, and VII in different harvest times of cultivated Paris polyphylla Smith var. yunnanensis (Franch.) Hand. Mazz by UPLC-MS/MS and FT-IR. J Nat Med. 2017;71(1):139–47. 10.1007/s11418-016-1043-8

6. Jiao Y, Xin M, Xu J, Xiang X, Li X, Jiang J, et al. Polyphyllin II induced apoptosis of NSCLC cells by inhibiting autophagy through the mTOR pathway. Pharm Biol. 2022;60(1):1781–9. 10.1080/13880209.2022.2120021

7. Chu ML, Lin PW, Liu YW, Wu SY, Lan SH, Su CL, et al. Formosanin C suppresses cancer cell proliferation and migration by impeding autophagy machinery. Kaohsiung J Med Sci. 2023;39(5):489–500. 10.1002/kjm2.12658

8. Lu Z, Yang H, Cao H, Huo C, Chen Y, Liu D, et al. Forsythoside A protects against lipopolysaccharide-induced acute lung injury through up-regulating microRNA-124. Clin Sci. 2020;134(19):2549–63. 10.1042/CS20200598

9. Yin L, Shi C, Zhang Z, Wang W, Li M. Formosanin C attenuates lipopolysaccharide-induced inflammation through nuclear factor-kappaB inhibition in macrophages. Korean J Physiol Pharmacol. 2021;25(5):395–401. 10.4196/kjpp.2021.25.5.395

10. Wang Q, Zhou X, Zhao Y, Xiao J, Lu Y, Shi Q, et al. Polyphyllin I ameliorates collagen-induced arthritis by suppressing the inflammation response in macrophages through the NF-kappaB pathway. Front Immunol. 2018;9:2091. 10.3389/fimmu.2018.02091

11. Zhang C, Li C, Jia X, Wang K, Tu Y, Wang R, et al. In vitro and in vivo anti-inflammatory effects of polyphyllin VII through downregulating MAPK and NF-kappaB pathways. Molecules. 2019;24(5):875. 10.3390/molecules24050875

12. Sun J, Zhang Q, Yang G, Li Y, Fu Y, Zheng Y, et al. The licorice flavonoid isoliquiritigenin attenuates Mycobacterium tuberculosis–induced inflammation through Notch1/NF-kappaB and MAPK signaling pathways. J Ethnopharmacol. 2022;294:115368. 10.1016/j.jep.2022.115368

13. Philips JA, Ernst JD. Tuberculosis pathogenesis and immunity. Annu Rev Pathol. 2012;7:353–84.

14. Lara-Espinosa JV, Santana-Martínez RA, Maldonado PD, Zetter M, Becerril-Villanueva E, Pérez-Sánchez G, et al. Experimental pulmonary tuberculosis in the absence of detectable brain infection induces neuroinflammation and behavioural abnormalities in male balb/c mice. Int J Mol Sci. 2020;21(24):9483. 10.3390/ijms21249483

15. Liang MY, Wang YZ, Qiao X, Lu YW, Chen MH, Li P, et al. Structural characterisation and discrimination of the aerial parts of Paris polyphylla var. yunnanensis and Paris polyphylla var. chinensis by UHPLC-QTOF-MS coupled with multivariate data analysis. Phytochem Anal. 2019;30(4):437–46. 10.1002/pca.2826

16. Man S, Chai H, Cui J, Yao J, Ma L, Gao W. Antitumor and anti-metastatic mechanisms of Rhizoma paridis saponins in Lewis mice. Environ Toxicol. 2018;33(2):149–55. 10.1002/tox.22501

17. Man S, Zhang L, Cui J, Yang L, Ma L, Gao W. Curcumin enhances the anti-cancer effects of Paris Saponin II in lung cancer cells. Cell Prolif. 2018;51(4):e12458. 10.1111/cpr.12458

18. Shifen Zhang QL, Liu L, Yang Y, Wang J. Morroniside alleviates lipopolysaccharide-induced inflammatory and oxidative stress in inflammatory bowel disease by inhibiting NLRP3 and NF-κB signaling pathways. Allergol Immunopathol (Madr). 2022;50(6):93–9. 10.15586/aei.v50i6.674

19. Junyu Li ZX, Canhui Ou Yang, Xiongjian Wu, Yun Xie, Jun Xie. Protopine alleviates lipopolysaccharide-triggered intestinal epithelial cell injury through retarding the NLRP3 and NF-κB signaling pathways to reduce inflammation and oxidative stress. Allergol Immunopathol (Madr). 2022;50(6):84–92. 10.15586/aei.v50i6.669

20. Shiliang Xie XW. CRYAB reduces cigarette smoke-induced inflammation, apoptosis, and oxidative stress by retarding PI3K/Akt and NF-κB signaling pathways in human bronchial epithelial cells. Allergol Immunopathol. 2022;50(5):23–9. 10.15586/aei.v50i5.645

21. Bickton F, Fombe C, Chisati E, Rylance J. Evidence for pulmonary rehabilitation in chronic respiratory diseases in sub-Saharan Africa: A systematic review. Int J Tuberc Lung Dis. 2020;24(10):991–9. 10.5588/ijtld.19.0526