Download

SHORT COMMUNICATION

Snail-induced anaphylaxis in patients with underlying Artemisia vulgaris pollinosis: the role of carbohydrates

Manuel Prados-Castañoa, Stefan Cimbolleka*, Borja Bartoloméb, Miriam Castilloc, Joaquin Quiraltea

aAllergy Department, Hospital Virgen del Rocío, Seville. Spain

bDepartment of Research and Development ROXALL Laboratories, Bilbao. Spain

cDepartment of Research and Development DIATER Laboratories. Leganés (Madrid), Spain

*Corresponding author: Stefan Cimbollek, Department of Allergology, University Hospital “Virgen del Rocío”, C/ Avda. Manuel Siurot, Str.41013, Sevilla, Spain. Email address: [email protected]

Abstract

Purpose: The importance of carbohydrates in anaphylaxis has been described with some foods. The current work intends to obtain clinical and immunological evidence of the importance of the O-glycans for IgE binding activity in anaphylactic reactions due to Helix aspersa (HA) ingestión and Artemisia vulgaris (AV) exposition.

Methods: The studio focused on two cases of IgE-mediated anaphylaxis induced by snail ingestion in patients with underlying rhino-conjunctivitis and asthma due to AV. We performed on both patients: skin prick tests ( SPTs) with HA and AV and with a battery of aeroallergen, controlled nasal challenge and specific IgE to HA and AV, ImmunoCAP ISAC®, and a differential pattern of IgE recognition with SDS-PAGE Immunoblotting (SDSI) when these allergens have suffered an O-deglycosylation procedure.

Results: The patients showed positive results in SPTs, nasal challenges, and serum-specific IgE against HA and AV. In patient 1, the SDSI detected several IgE-binding proteins in AV with a molecular mass of 22, 24, and 44 kDa, whereas a band of 12 kDa was detected in HA. On the other hand, patient 2’s serum revealed an IgE-binding zone between 75 and 20 kDa in the AV and a band of 24 kDa in the HA. When glycans were removed, patient 1’s serum only revealed the AV’s 22 and 24 kDa bands, whereas patient 2’s serum did not detect any IgE-reactive protein in the HA.

Conclusions: Our data suggest that O-glycosylation can be relevant in patients with anaphylaxis due to snails and allergy to Artemisia vulgaris. This new entity representing cross-reactivity between AV and HA could be named Snail-Artemisia Syndrome.

Key words: Anaphylaxis, Snails, Artemisia vulgaris, O-glycans

Received 27 July 2023; Accepted 2 November 2023; Available online 1 January 2024

DOI: 10.15586/aei.v52i1.966

Copyright: Prados-Castaño M, et al.
License: This open access article is licensed under Creative Commons Attribution 4.0 International (CC BY 4.0). http://creativecommons.org/licenses/by/4.0/

Introduction

Hypersensitivity reactions to snails are frequently associated with respiratory allergy to house dust mites (HDM). This is usually due to cross-sensitization by tropomyosin, common in HDM, seafood, snails, and cockroaches.1

The Artemisia vulgaris (AV), a common mugwort, is distributed throughout Spain and is associated with different pollen-fruit-vegetable-cross reactivity syndromes. Art v 1, the major allergen of AV pollen2 (AVP), has been described as a glycosylated protein.3

O-glycosylation is one of the most common post- translational modifications of proteins and the most frequent and best investigated in higher eukaryotes, including snails.4 O-glycans seem to play an essential role in IgE binding activity. Remarkably, recombinant Art v 1, a non-glycosylated form of the protein, exhibited different IgE binding capacities, which suggest an essential role of its O-glycans for its IgE binding activity.5

In this context, the current work intends to obtain clinical and immunological evidence of the importance of the carbohydrate determinants in anaphylaxis reactions due to Helix aspersa (HA) ingestión and AVP exposition.

To achieve this objective, the group has studied and shown the clinical reactivity to the Helix aspersa (HAE) and AVP extracts (AVPE) by performing (1) skin prick tests (SPTs) with HAE and AVPE and with a battery of aeroallergen; (2) controlled nasal challenge with acoustic rhinometry; (3) specific IgE to Ha tropomyosin, and to HAE and AVPE, ImmunoCAP ISAC® (Immuno-solid-phase allergen chip assay); and, (4) a differential pattern of IgE recognition with SDS-PAGE Immunoblotting (SDSI) when these allergens have suffered an O-deglycosylation procedure, inducing a complete sugar removal with no protein degradation.

Material and Methods

Patients

Case 1

A 38-year-old man presented for at least 4 years of seasonal oculonasal symptoms (sneezing, rhinorrhea, congestion, and hyperemia). After snail intake, he immediately started with nasoocular symptoms, severe shortness of breath, generalized pruritus, and antecubital and neck hives. He had previously tolerated snails.

Case 2

A 37-year-old woman presented to the clinic because of seasonal oculo-nasal itching, sneezing, rhinorrhea, nasal congestion, tearing, coughing, and wheezing during the previous 8 years. She also experienced an episode of palpebral edema, dyspnea, pharyngeal tightness, and dysphagia shortly after snail ingestion.

In both patients, the symptoms resolved after the administration of corticosteroids and antihistamines; no other cofactors were identified. Concomitant foods were well tolerated after the episode.

Skin prick-tests

Skin prick tests (SPTs) were carried out with HA and AV extract and with a battery of commercial aeroallergens (mite, fungi, pollens, and animal dander) (Roxall Lab, Bilbao, Spain) on the volar side of the forearm. Histamine phosphate (10 mg/mL) was used as a positive control, and physiologic saline was used as a negative control. The results were the measurements (mm) of the larger wheal diameter within 15 minutes of puncture. A wheal ≥3 mm in the presence of a negative response to the saline control was considered positive. Five healthy volunteers and five atopic patients were used as the control group for in vivo tests.

Specific serum IgE

Specific IgE was measured by the RAST technique. The solid phase was obtained by coupling the extract solution (10mg/ml) to the 6-mm diameter CNBr-activated paper discs described by Ceska and Lunqvist.6 RAST was performed using the method of Wide et al.7 with HyTec TM specific IgE reagents (Hycor Biomedical, Garden Grove, CA, USA), per the manufacturer´s instructions.6,7

Specific IgE levels were also measured by ImmunoCAP ISAC® (Immuno-solid-phase allergen chip assay). Results were reported in ISAC Standardized Units (ISU) and categorized based on the manufacturer’s cutoff levels (<0.3 ISU, undetectable or very low; 0.3-0.9 ISU, low; 1–14.9 ISU, moderate/high; ≥15 ISU, very high). Values above 1 ISU were considered positive. Besides, specific IgE was measured by ImmunoCAP to tropomyosin (rDer p 10, Thermo Fisher Scientific) to confirm tropomyosin (Der p 10) results obtained by ISAC.

Nasal Helix aspersa and Artemisia vulgaris challenges

Specific nasal challenges using an acoustic rhinometry were done with HA and AV pollen extracts for each patient, following the procedure proposed by Palomares et al.8, with modifications. First, SPTs were performed with 10-fold dilutions of HA and AV (prepared immediately before challenging from frozen extracts) to determine a safe starting dose for the nasal challenge.

Blotting assays: SDS-PAGE and Western blot

Proteins of AV and HA were separated by electrophoresis in 15% sodium dodecyl sulfate-polyacrylamide gels under denaturing and reduction conditions. Gels were stained with Coomassie blue and glycoprotein staining kit (Pierce®, Thermo Fisher Scientific, MA, USA) to reveal each extract’s protein and glycoprotein profiles. Once separated, the proteins were electrotransferred to the PVDF membranes and incubated with the sera of each patient using the Western blot technique. Different concentrations of AV and HA extracts were incubated with the sera of the patients to inhibit IgE recognitions.

Glycoproteins from AV and HA extracts were combined with glycoprotein denaturation reagents for glycan inactivation (i.e., complete sugar removal with no protein degradation) according to the manufacturer’s protocol (New England BioLabs, Massachusetts, USA) for further analysis.

Results

The patients showed positive results in SPTs, nasal challenges, and serum-specific IgE against HA and AV (Table 1 and Figure 1).

Table 1 Summary of clinical and laboratory findings.

Allergy test Patient 1 Patient 2
SPT
  Artemisia vulgaris Positive (15mm) Positive (11mm)
  Comercial aeroallergens extract Negative Negative
  Helix aspersa Positive (18mm) Positive (8mm )
sIgE
  Artemisia vulgaris 15, 3 kU/L 13 kU/L
  Helix aspersa 4,5 kU/L 2,1 kU/L
  Helix aspersatropomyosin <0,35 kU/L <0,35 kU/L
ISAC® nArt v 1 12 ISU-E nArt v 1 33 ISU-E
Controlled nasal challenge
  Artemisia vulgaris Positive Positive
  Helix aspersa Positive Positive
  Controls Negative Negative

Figure 1 (A) Nasal challenge with Artemisia vulgaris pollen extract and (B) Helix aspersa extract in two patients with snail allergy. The graph shows the adjusted changes in Vol 2-8 over each concentration for each allergen, A. vulgaris, and H. aspersa. A value of Vol 2-8 obtained after the installation of placebo (saline solution) was considered 100 percent.

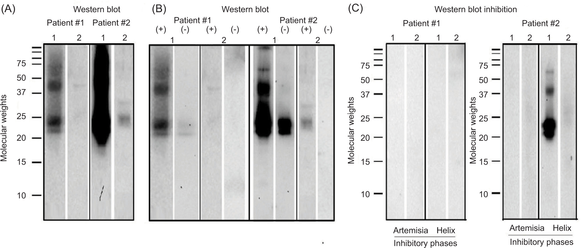
SDSI with patient 1 serum detected several IgE-binding proteins in AV with a molecular mass of 22, 24, and 44 kDa, whereas a band of 12 kDa was detected ion HA. On the other hand, patient 2 serum revealed an IgE-binding zone between 75 and 20 kDa in the AV and a band of 24 kDa in the HA (Figure 2A).

Figure 2 Helix aspersa and Artemisia vulgaris pollen extracts were analyzed by sodium dodecyl sulfate-polyacrilamide gel electrophoresis and stained with Coomassie Brilliant Blue R-250. (A) Lane 1 Artemisia vulgaris pollen extract. Lane 2 Helix aspersa extract. (B) Lane 1 (+)O-glycosylated sample. Lane 2 (-) non-O-glycosylated sample. (C) Western blot-inhibition results.

When glycans were removed, patient 1 serum only revealed the AV’s 22 and 24 kDa bands, whereas patient 2 serum did not detect any IgE reactive protein in the HA (Figure 2B).

SDSI-inhibition assays were carried out with both solid- phase extracts and as inhibitors with the patient sera. Both extracts produced IgE binding inhibition in the homologous and heterologous extracts (Figure 2C).

Discussion

This study was designed to investigate the clinical observation of a cluster of snail-induced anaphylaxis in patients with underlying mugwort allergy. Mugwort allergens were studied to determine their implication as a causative allergen. Art v1 was the only allergen involved. Is this a coincidence, or is there any relationship with snail allergy? Cross-reactivity could explain this clinical observation based on our findings.

Hypersensitivity reactions to snails have been described due to cross-reactivity to tropomyosin in patients with HDM allergy.1 Nevertheless, our patients have ruled out cross- reactivity due to tropomyosin. SPTs to HDM were negative, as well as specific IgE and ISAC®. The bands identified by immunoblotting also did not correspond to those described without HDM sensitization.9

The possibility that patients had a primary snail allergy could be explained because of positive IgE and nasal challenge results to snails and with the binding bands identified by the immunoblotting assays of 12 kDa for patient one and 25 kDa for patient two. In this sense, some articles have been published2,5,10 that describe bands of different molecular weights.

Another explanation might be the loss of structural conformation during extract preparation or the role of glycans with different foods in the anaphylactic reactions of our patients, as previously described by other authors.11

IgE-binding bands of 22 kDa and ranging from 22 to 24 kDa in patients 1 and 2 correlate with Art v 1(Figure 1). This protein has previously been described.2,3 O-glycosylation is necessary for both patients to recognize all the binding bands in snail and AV, except for Art v1 (Figure 1 B). This observation might be important in the formation of epitopes recognized by IgE antibodies3,5,12 and could explain the symptoms suffered by the patients and the cross- reactivity between AV and snails

Immunoblotting showed IgE in common epitopes between AV and HA. Patient 1 had a total inhibition (Figure 1C), whereas Patient 2 had a partial inhibition. This might be explained by greater values of IgE to Art v1 compared with lower IgE levels to HA. (Table 1).

Conclusion

Two cases of IgE-mediated anaphylaxis induced by snail ingestion in patients with underlying rhino-conjunctivitis and asthma due to AVP are described. O-glycosylation has been an essential tool to diagnose these patients, manifesting the role that carbohydrates may play. This new entity representing cross-reactivity between AV and HA could be named Snail-Artemisia Syndrome.

Conflict of interest

The authors declare no potential conflicts of interest concerning this article’s research, authorship, and publication.

REFERENCES

1. Asturias JA, Eraso E, Arilla MC, Gómez-Bayón N, Inácio F, Martínez A. Cloning, isolation, and IgE binding properties of Helix aspersa (Brown garden snail) tropomyosin. Int Arch Allergy Immunol. 2002;128:90–96. 10.1159/000059398

2. Himly M, Jahn-Schmid B, Dedic A, Kelemen P, Wopfner N, Altmann F, et al. Art v1, the major allergen of mugwort pollen, is a modular glycoprotein with a defensin-like and hydroxyproline-rich domain. FASB J. 2003;17:106–8. 10.1096/fj.02-0472fje

3. Pol-Fachin L, Verli H. Structural glycobiology of the major allergen of Artemisia vulgaris pollen, Art v 1: O-glycosylation influence on the protein dynamics and allergenicity. Glyco-biology. 2012;22:817–25. 10.1093/glycob/cws056

4. Stepan H, Pabst M, Altmann F, Geyer H, Geyer R, Staudacher E. O-glycosylation of snails. Glycoconj J. 2012;29:189–98. 10.1007/s10719-012-9391-4

5. Schmid-Grendelmeier P, Holzmann D, Himly M Weichel M, Tresch S Rückert B, et al. Native Art v 1 and recombinant Art v 1 are able to induce humoral and T cell–mediated in vitro and in vivo responses in mugwort allergy J Allergy Clin Immunol. 2003;111:1328–36. 10.1067/mai.2003.1495

6. Ceska M, Lunqvist U. A new and simple radio-immuno-assay method for the determination of IgE. Immun-ochem. 1972;9:102–105. 10.1016/0019--2791(72)901-12-7

7. Wide L, Bennich H, Johansson SGO. Diagnosis of allergy by an in vitro test for allergen antibodies. Lancet. 1967; 1:1105–107. 10.1016/S0140-6736(67)90615-0

8. Palomares O, Alcántara M, Quiralte J, Villalba M, Garzón F, Rodríguez R. A thaumatin-like protein and occupational airway disease in an olive-oil mill worker. New Engl J Med. 2008;358:1306–308. 10.1056/NEJMc0707778

9. Caiado J, Lundberg M, Pedro E, Conceiçao Pereira-Santos M, Pereira Barbosa M. Snail allergy without house dust mites sensitisation. Allergol Immunopathol. 2009;37:107–108. 10.1016/S0301-0546(09)71115-2

10. Lourenço Martins LM, Peltre G, Fialho da Costa Faro CJ, Vieira Pires EM, Da Cruz Inácio FF. The Helix aspersa (Brown garden snail) allergen repertoires. Int Arch Allergy Immunol. 2005;136:7–15. 10.1159/000082579

11. Wilson JM, Platts-Mills TAE. α-Gal and other recent findings that have informed our understanding of anaphylaxis Ann Allergy Asthma Immunol. 2020;124:135–42. 10.1016/j.anai.2019.11.024

12. Homann A, Schramm G and Jappe U. Glycans and glycan-specific IgE in clinical and molecular allergology: sensitization, diagnostics, and clinical symptoms. J Allergy Clin Immunol. 2017;140:356–68. 10.1016/j.jaci.2017.04.019