Download

ORIGINAL ARTICLE

Resveratrol modulates the Nrf2/NF-κB pathway and inhibits TSLP-mediated atopic march

Quan Hea,b, Weihua Liua, Zi Chena, Guangfei Weic, Jingxian Jianga, Liuchao Zhanga, Linfu Zhoua*

aDepartment of Respiratory and Critical Care Medicine, the First Affiliated Hospital, Nanjing Medical University, Nanjing, Jiangsu, China

bDepartment of Respiratory and Critical Care Medicine, Zhenjiang Hospital of Integrated Traditional Chinese and Western Medicine, Zhenjiang, Jiangsu, China

cClinical Research Center (CRC), Zhenjiang Hospital of Integrated Traditional Chinese and Western Medicine, Zhenjiang, Jiangsu, China

*Corresponding author: Linfu Zhou, Department of Respiratory and Critical Care Medicine, the First Affiliated Hospital, Nanjing Medical University, No. 300 Guangzhou Road, Nanjing, Jiangsu 210029, China. Email address: [email protected]

Abstract

Background: Resveratrol has been found to have anti-inflammatory and anti-allergic properties. The effects of resveratrol on thymic stromal lymphopoietin (TSLP)-mediated atopic march remain unclear.

Purpose: To explore the potential role of resveratrol in TSLP-mediated atopic march.

Methods: The atopic march mouse model was established by topical application of MC903 (a vitamin D3 analog). Following the treatment with resveratrol, airway resistance in mice was discovered by pulmonary function apparatus, and the number of total cells, neutrophils, and eosinophils in bronchoalveolar lavage fluid was counted. The histopathological features of pulmonary and ear skin tissues, inflammation, and cell infiltration were determined by hematoxylin and eosin staining. The messenger RNA (mRNA) levels of TSLP, immunoglobulin E, interleukin (IL)-4, IL-5, and IL-13 were measured by real-time quantitative polymerase chain reaction. The protein expression of nuclear factor kappa B (NF-κB)/nuclear factor erythroid 2-related factor 2 (Nrf2) signaling-associated molecules (p-p65, p65, p-I kappa B kinase alpha (IκBα), IκBα, Nrf2, and TSLP) in lung and ear skin tissues were assessed by Western blot analysis.

Results: Resveratrol attenuated airway resistance and infiltration of total cells, eosinophils, and neutrophils in both lung and ear skin tissues. Resveratrol ameliorates serum inflammatory markers in allergic mice. Moreover, the phosphorylation levels of NF-κB pathway-related proteins were significantly reduced by administration of resveratrol in allergic lung and ear skin tissues. Similarly, the protein expression of TSLP in both lung and ear skin tissues was reduced by resveratrol, and Nrf2, a protector molecule, was increased with resveratrol treatment.

Conclusion: Resveratrol attenuates TSLP-reduced atopic march through ameliorating inflammation and cell infiltration in pulmonary and ear skin tissues by inhibiting the abnormal activation of NF-κB signaling pathway.

Key words: atopic march, NF-ΚB, Nrf2, resveratrol, TSLP

Received 21 July 2023; Accepted 25 September 2023; Available online 1 January 2024

DOI: 10.15586/aei.v52i1.963

Copyright: He Q, et al
License: This open access article is licensed under Creative Commons Attribution 4.0 International (CC BY 4.0). http://creativecommons.org/licenses/by/4.0/

Introduction

Atopic illnesses, such atopic dermatitis (AD), allergic rhinitis, and asthma, have become more common over the past few decades and currently affect about 20% of the global population. Patients with atopic dermatitis may develop a spectrum of symptoms typical of allergic rhinitis and asthma at certain period of age. The disease may last for years in some individuals, while in others it may improve or subside with age. Atopy is defined as the susceptibility of an individual or family to produce immunoglobulin E (IgE) antibodies in response to environmental triggers. Atopic dermatitis, food allergy, allergic asthma (AA), and allergic rhinitis (AR) are the disorders that develop over time, starting in infancy. Anatomically, it follows the “atopic march,” a phenomenon that describes the geographical evolution of the skin, gastrointestinal tract, and respiratory tract. According to a recent research, thymic stromal lymphopoietin (TSLP) is a crucial inflammatory mediator in the allergic process and is assumed to be the main link between atopic dermatitis, allergic rhinitis, and asthma.1

Red grape skins contain the highest concentration of resveratrol, a naturally occurring polyphenol, among a variety of fruits and vegetables. Numerous studies have demonstrated that it has a range of pharmacological benefits, including anti-inflammatory, anti-cancer, antioxidant, and anti-angiogenic properties.2 In mice with ovalbumin- induced asthma, resveratrol dramatically decreased interleukin (IL)-5, IL-13, and transforming growth factor-beta (TGF-β) in serum and bronchoalveolar lavage fluid (BALF).3 Resveratrol attenuates allergic responses and IgE-mediated mast cells infiltration in anaphylactic models.4 Resveratrol reduces 2,4-dinitrofluorobenzene-meditated atopic dermatitis-similar lesions through its effect on the epithelium.2 Resveratrol improves ovalbumin-mediated allergic asthma.5 Moreover, resveratrol exerts anti-allergic and anti-inflammatory effects by suppressing excessive oxidative stress signals of allergic mouse.6 It has been shown that resveratrol reduces allergic airways inflammation and allergic responses by alleviating RAC-alpha serine/threonine- protein kinase–mechanistic target of rapamycin (Akt/mTOR) signaling pathway.7 Recent studies have demonstrated that the anti-inflammatory effect of resveratrol could be associated with nuclear factor kappa B (NF-κB) and nuclear factor erythroid 2-related factor 2 (Nrf2) pathways. For example, resveratrol can inhibit the NF-κB pathway to improve myocardial injury in sepsis.8 Resveratrol functions as a Nrf2 activator in kidney damage illnesses, reducing pathological alterations, oxidative stress, and production of proteins linked to aging.9 However, the specific function and underlying mechanism of resveratrol in atopic march is not clear.

In this study, we found that resveratrol could attenuate TSLP-induced atopic march by inhibiting inflammatory response and cell infiltration in pulmonary and ear skin tissues by suppressing the activation of NF-κB signaling.

Methods

Construction of asthma model

Female BALB/c mice, aged 6–8 weeks, were acquired from Jiangsu University and maintained under the management of experimental animals in Zhenjiang Hospital of Integrated Traditional Chinese and Western Medicine. The mice had unlimited access to a conventional chow meal and water and were housed in a specialized pathogen-free animal facility with a 12-h light/dark cycle and an ambient temperature of 24 ± 1°C. Following a week of acclimatization, mice were separated into five groups at random: control group, resveratrol group, allergic group, allergic+resveratrol group, and allergic+dexamethasone group.

Asthma model was established in mice, which received topical application of MC903 (a vitamin D3 analog, 1 nmol) on ears on days 3 and 5, and house dust mite (HDM, 0.5 µg) from days 0 to 4 (once a day). Then, from day 29 to day 32, these mice were applied with HDM (once a day) to stimulate allergic reactions.

Bronchoalveolar lavage fluid sample collection

Before collecting BALF, mice were anesthetized with intraperitoneally injected 1% sodium pentobarbital (40 mg/kg). Mice were injected 1 ml of saline, followed by three repetitions of suction. Recycled BALF was centrifuged at 400×g and 4°C for 15 min. If the recycled volume was more than 0.8 mL, the sample was deemed appropriate for testing. The cells were counted for 1 h. Phosphate-buffered saline solution (PBS) was used for resuspension of cell sedimentation and 10 µL was used to calculate total number of cells. Then, 0.1 mL sample from last step was used to spread cell pellets. Wright’s staining was used to fix and stain cell pellet smear. Cells were differentially counted in three visual fields, and the data were averaged.

Airway resistance measurement

Airway resistance in response to TSLP-mediated atopic march was evaluated using pulmonary function apparatus (Troy, NY). In order to determine the lung resistance index and dynamic compliance after anesthetizing the mice, the respiratory flow was recorded by a pneumotachograph. Mice were chosen at random in each experimental group and acclimated in the Buxco chamber for 10 min. Following the initial acclimatization phase, baseline (BL) airway functioning levels were measured for 5 min. The animals were subjected to aerosolized PBS for 30 s after baseline measurements, followed by 3 min of recording. After 30 s of nebulization with 25-mg/mL methacholine (Mch) exposure to cause bronchoconstriction, the mice were observed for 3 min.

Bronchoalveolar lavage fluid collection and cell counts

Bronchoalveolar lavage fluid was extracted from anesthetized mice using a tracheal cannula. The lungs had received 500 μL of sterile PBS, which was withdrawn for three times and put on ice. The BALF samples were centrifuged at 3000 rpm for 10 min at 4°C. The supernatants were kept at -80°C for further analysis. After being resuspended in 100 mL of PBS, BALF cell pellets were examined for morphology using Wright–Giemsa staining to assess the proportions of inflammatory cells (total cells, eosinophils, and neutrophils). On each slide, a minimum of 200 cells were counted.

Histological analysis

Lung and ear skin tissues of mice were collected and fixed in 4% formaldehyde at 4°C for 24 h. Then the tissues were paraffin-embedded, cut sequentially in 5-μm thick sections and mounted. After dewaxing, alcohol hydration, and deionized H2O cleaning, the sections were stained with hematoxylin and eosin (H&E), and images were captured using a microscope. Thicknesses of the epidermis and dermis were measured with ImageJ.

Evaluation of serum IgE and thymic stromal lymphopoietin levels

Mouse serum enzyme-linked immunosorbent assay kits (eBioscience, CA, USA) were used to determine the levels of total serum IgE and TSLP according to manufacturer’s instructions.

Real-time quantitative polymerase chain reaction (RT-qPCR)

Total RNA was isolated by TRIzol and its concentration was determined using a spectrophotometer (Thermo Fisher Scientific, MA, USA). Then, using transcriptor cloning DNA (cDNA) synth kit (Roche, IN, USA), RNA was reverse- transcribed into cDNA. The CFX96 RT-PCR system equipment (Bio-Rad Laboratories, Hercules, CA, USA) were used for amplification. Cycle thresholds (Ct) of detected transcripts were normalized by glyceraldehyde 3-phosphate dehydrogenase (GAPDH), the control. Finally, the following relative gene levels were observed by 2−∆∆Ct method: IL-4 primer: forward: 5’-ATCATCGGCATTTTGAACGAGGTC-3’, reverse: 5’-ACCTTGGAAGCCCTACAGACGA-3’; IL-5 primer: forward: 5’-GGAATAGGCACACTGGAGAGTC-3’, reverse: 5’-CT -CT-CCGTCTTTCTTCTCCACAC-3’; IL-13 primer: forward: 5’-AA CGGCAGCATGGTATGGAGTG-3’, reverse: 5’-TGGGTCCTGTAG ATGGCATTGC-3’.10

Western blot analysis

Proteins were extracted from a small piece of lung or ear skin tissues by using radioimmunoprecipitation assay (RIPA) lysis buffer (Solarbio, Beijing, China). The lysates were centrifuged for 10 min at 13,000×g. Total protein concentration was analyzed using a Solarbio bicinchoninic acid kit. Based on molecular weight, equal amount of proteins were separated electrophoretically. Proteins were then transferred onto polyvinylidene fluoride (PVDF) membranes and blocked with 5% non-fat dry milk for 1 h at room temperature. Following the washing with tris buffered saline with tween (TBST), the membranes were exposed overnight to matching primary antibodies at 4°C, followed by secondary antibodies at 37°C for 1 h. Protein bands were then detected using the enhanced chemiluminescence (ECL) detection method (GE Healthcare, Piscataway, NJ, USA).11 Membranes were incubated with specific primary anti-bodies: p-p65 (#ab76302, 1:1000; Abcam, Cambridge, UK), p65 (#ab32536, 1:1000; Abcam), p-IκBα (#ab133462, 1:1000; Abcam), IκBα (#ab32518, 1:1000; Abcam), Nrf2 (#ab207223, 1:1000; Abcam), TSLP (#ab309479, 1:1000; Abcam), and β-actin (#ab8226, 1:1000; Abcam). Cell Signaling Techno-logies (Danvers, MA, USA) supplied secondary peroxidase- conjugated antibodies against mice (#4410, 1:10,000).

Statistical analysis

The data were statistically analyzed with SPSS 22.0 (IBM, Armonk, NY, USA). To evaluate significance in groups, Student’s t-test and ANOVA analysis were used. Findings of three experiments were shown as mean values and standard deviation (SD); P < 0.05 was considered as statistically significant.

Results

Resveratrol improves airway resistance and inflammatory cells in allergic mice

In order to explore the effect of resveratrol on atopic march, we first established an TSLP-mediated allergic mice model. Since airway hyperresponsiveness (AHR) was one of the symptoms in allergic mice, the airway resistance was examined. Airway resistance in the allergic group was remarkably enhanced, compared to the control and resveratrol groups, while in the allergic+resveratrol and allergic+dexamethasone groups, these treatments attenuated TSLP-mediated airway resistance, compared to the allergic group (Figure 1A). We then examined the quantity of inflammatory cells in BALF, and the results showed that allergic mice had significantly enhanced number of total cells, eosinophils, and neutrophils than the control group (Figure 1B). Similarly, resveratrol or dexamethasone therapy decreased the number of total cells, eosinophils, and neutrophils in BALF (Figure 1B). Together, these results revealed that allergy increased AHR and inflammatory cells, and the administration of resveratrol or dexamethasone reduced AHR and inflammatory cell levels in chronic allergic mice.

Figure 1 Resveratrol decreases airway resistance and inflammatory cells in allergic mice. (A) Airway resistance was detected by pulmonary function apparatus. (B) The number of total cells, neutrophils, and eosinophils in BALF were observed using an automated blood cell analyzer. The data are expressed as mean ± SD. ***P < 0.001 vs. the control. ###P < 0.001 vs. the allergic group.

Resveratrol ameliorates histopathological alterations in lung and ear skin tissues of allergic mice

Then, H&E staining was performed to identify the effects of resveratrol on lung and ear skin tissues of asthma mice. Thickening of airway wall and serious peribronchial and perivascular inflammatory cell infiltration were the hallmark histopathological features of allergic mice whereas treatment with resveratrol or dexamethasone significantly reduced the accumulation of infiltrated cells and mucus overproduction in lung tissues (Figure 2A). Furthermore, in comparison to allergic ears, ears in allergic+resveratrol and allergic+dexamethasone groups showed dramatically less epidermal and dermal thickness (Figure 2B). These findings revealed that resveratrol could ameliorate histopathological alterations in pulmonary and ear skin tissues of allergic mice.

Figure 2 Resveratrol ameliorates histopathological alterations in lung and skin tissues of allergic mice. (A) Lung tissues were measured by H&E staining (magnification, ×200). (B) Epidermal and dermal thicknesses were determined from H&E-stained ear sections (magnification, ×200). The data are expressed as mean ± SD.

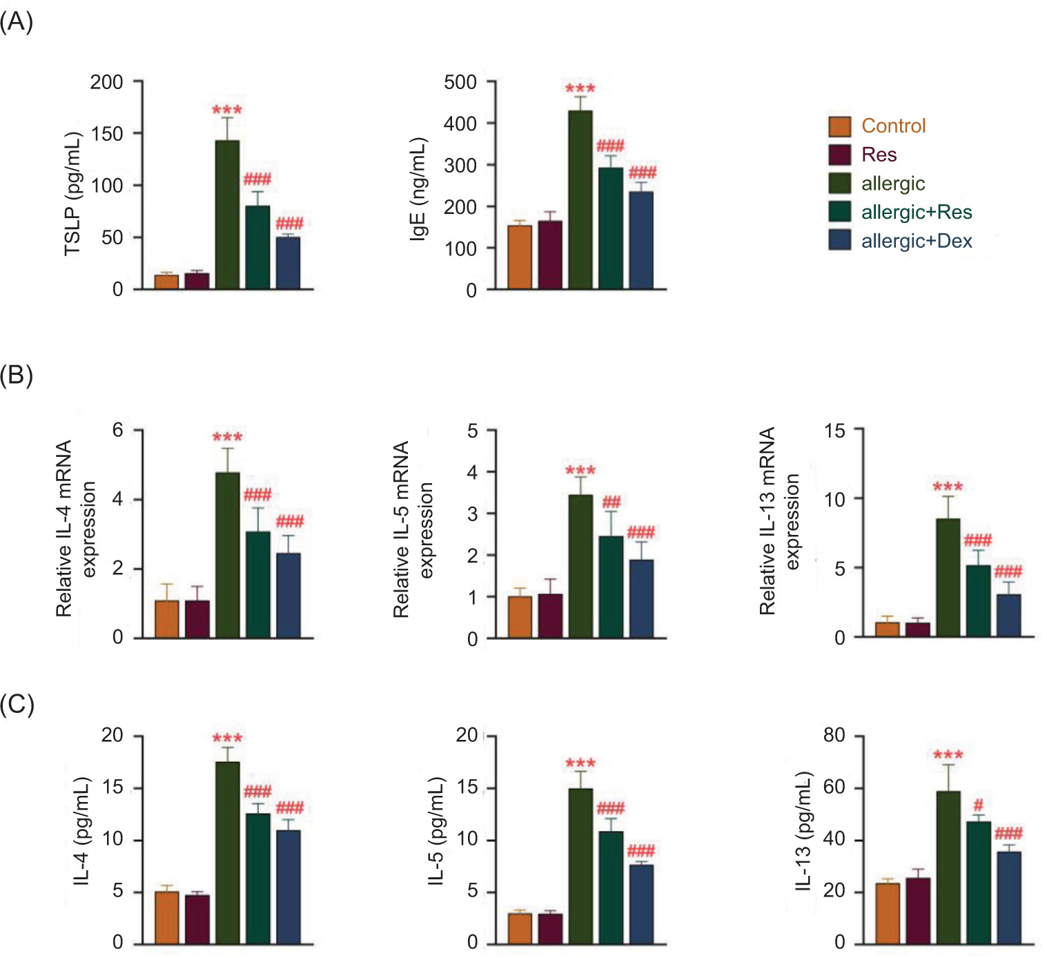
Resveratrol ameliorates serum inflammatory markers in allergic mice

We observed the expression of TSLP, IgE, IL-4, IL-5, and IL-13 in serum because inflammatory cytokines are crucial in the pathophysiology of TSLP-mediated atopic march. In allergic mice, the expression of TSLP and IgE in serum was markedly increased, compared to the control group (Figure 3A). The administration of resveratrol controlled the progression of TSLP-mediated atopic march (Figure 3A). Compared to the control group, the allergic group had significantly higher relative messenger RNA (mRNA) expressions and protein expressions of IL-4, IL-5, and IL-13 in serum (Figures 3B and 3C). Resveratrol treatment obviously reduced the mRNA levels of IL-4, IL-5, and IL-13 in mice (Figures 3B and 3C). Overall, these data suggested that resveratrol could reduce the level of inflammatory markers in the serum of allergic mice.

Figure 3 Resveratrol ameliorates serum inflammatory markers in allergic mice. (A) TSLP and IgE were observed in the serum. (B) The mRNA levels of IL-4, IL-5, and IL-13 were measured by PCR. (C) The protein levels of IL-4, IL-5, and IL-13 were measured by enzyme-linked-immunosorbent serologic assay (ELISA). The data are expressed as mean ± SD. ***P < 0.001 vs. the control. ###P < 0.001 vs. the allergic group.

Resveratrol modulates NF-κB and Nrf2 pathway

Furthermore, we explored the specific mechanism of allergy reduction mediated by resveratrol. Since NF-κB and Nrf2 are associated with TSLP-induced atopic march, we observed the levels of NF-κB/Nrf2-related molecules (p-p65, p65, p-IκBα, IκBα, Nrf2, and TSLP) by Western blotting analysis. As shown in Figure 4A, the phosphorylation levels of NF-κB pathway (p-p65, p65, p-IκBα, and IκBα) were significantly increased in allergic lung and ear skin tissues whereas these increases were significantly reduced by resveratrol treatment. Similarly, the protective molecule levels of Nrf2 in both pulmonary and ear skin tissues were increased by resveratrol (Figure 4B) whereas inflammation- inducing factor TSLP was reduced in resveratrol-treated mice (Figure 4C). These results indicated that the administration of resveratrol could exert anti-allergic effects by suppressing activated NF-κB and accelerating Nrf2 signaling.

Figure 4 Resveratrol modulates NF-κB and Nrf2 pathway. (A) The protein expressions of p-p65, p65, p-IκBα, and IκBα in lung and ear skin tissues were assessed by Western blot analysis. (B) Nrf2 levels in lung and ear skin tissues were measured by Western blot analysis. (C) The protein level of TSLP was discovered by Western blot analysis. The data are expressed as mean ± SD. ***P < 0.001 vs. the control. ##P < 0.01 and ###P < 0.001 vs. the allergic group.

Discussion

In the present study, our results showed that resveratrol treatment could attenuate the symptoms of TSLP-mediated atopic march via decreasing AHR, neutrophils and eosinophils infiltration, pathological changes in both pulmonary and ear skin tissues as well as reducing the rising serum levels of IgE and TSLP. Mechanistic studies demonstrated that application of resveratrol exerts anti-allergic effects by suppressing NF-κB signaling pathway.

Atopic march reflects the temporal-spatial progression of atopic dermatitis to allergic asthma and allergic rhinitis, mediated by TSLP.1 Studies have revealed that resveratrol plays a vital role in ameliorating allergic reactions and slowing of atopic march in order to control the rising incidences of allergic disorders in recent years. For instance, resveratrol has protective effects against a series of allergic reactions, including airway remodeling, airway hyper-reactivity, and numerous inflammatory cell infiltrations in allergic models.12,13 Similarly, this study established that the degree of airway resistance was enhanced remarkably in the allergic group; however, resveratrol treatment significantly attenuated TSLP-mediated airway resistance and a reduction in the number of total cells, eosinophils, and neutrophils in BALF. Furthermore, resveratrol injection significantly reduced the buildup of infiltrating cells, excessive mucus production in lung tissues, and epidermal and dermal thickness in ear skin tissues. Furthermore, resveratrol treatment significantly decreased several serum inflammation markers, containing IL-4, IL-5, and IL-13 mRNA expression in allergic mice.

Many cytokines and chemokines that regulate immune responses and inflammation are produced during allergic process.1418 According to a previous study, NF-κB and Nrf2 are key players in the pathogenesis of inflammatory disorders, and both atopic dermatitis and allergic asthma are linked to the activation of molecules associated with NF-κB and Nrf2. NF-κB, as a transcription factor, is released and translocated to the nucleus when IκB proteins are phosphorylated and degraded, thereby activating various pro-inflammatory target genes, such as IL-4, IL-5, and IL-13. Nrf2, a transcription factor, is a key regulatory factor of cellular protective proteins, including antioxidants, exogenous detoxifying enzymes, and proteins of proteasome pathway. In the absence of stress, Nrf2 remains at low levels in the cytoplasm, where it interacts with its antagonist Kelch-like ECH-associated protein 1 (Keap1) to promote ubiquitination and proteasomal destruction. However, in the presence of environmental stress, Nrf2 is released from Keap1, translocates to the nucleus, and binds to antioxidant response elements present in every promoter of Nrf2-dependent genes. As a result, adaptive cellular protective responses are activated, environmental stressors are detoxified, and various immune regulatory effects are produced. Nrf2 improves allergic asthma in mice by improving the protective function of airway epithelial cells.19 Increased nuclear translocation of Nrf2 and subsequent production of heme oxygenase-1 (HO-1) improves atopic dermatitis.20

In this study, our findings showed that the phosphorylation levels of NF-κB pathway-related protein and inflammation- inducing factor TSLP were significantly increased in allergic mice whereas these expressions were dramatically reduced in both pulmonary and ear skin tissues after resveratrol treatment. Moreover, Nrf2, as a crucial protective marker of atopic march, was increased with resveratrol treatment. These results suggested that resveratrol could suppress progress of atopic march by inactivating NF-κB signaling pathway.

Conclusion

Resveratrol has a positive impact on TSLP-mediated atopic march by reducing TSLP and decreasing inflammatory cell infiltration. The protective benefits of resveratrol are exerted through NF-κB signaling pathway. These results suggest that resveratrol treatment could be an option for treating atopic march.

Funding

This work was supported by the Jiangsu Senile Health Research Project (No. LK2021057), TCM Science and Technology Development Program of Jiangsu Province (No. MS2022125), Zhenjiang Key Research and Development Project (No. SH2022081), National Key Research and Development Program of China (No. 2022YFF0710800), and Major International (Regional) Joint Research Project (No. 81820108001).

Availability of Data and Materials

All data generated and analyzed in this study are included in the published article.

The datasets used and/or analyzed in the present study are available from corresponding author on reasonable request.

Competing interests

The authors had no conflict of interest to declare.

Ethical approval

Ethical approval was obtained from the Ethics Committee of Zhenjiang Hospital of Integrated Traditional Chinese and Western Medicine (approval No. 20222013).

Author Contributions

Quan He performed conceptualization, methodology, and wrote original draft. Weihua Liu caused formal analysis, resources, and investigations. Zi Chen carried out formal analysis, visualization, and data curation. Guangfei Wei and Jingxian Jiang carried out project administration, supervision, and validation. Liuchao Zhang and Linfu Zhou were responsible for validation, supervision, and review and editing of the paper. Finally, all authors read and approved the final manuscript.

REFERENCES

1. Bantz SK, Zhu Z, Zheng T. The atopic march: Progression from atopic dermatitis to allergic rhinitis and asthma. J Clin Cell Immunol. 2014;5(2):202. 10.4172/2155-9899.1000202

2. Caglayan Sozmen S, Karaman M, Cilaker Micili S, Isik S, Arikan Ayyildiz Z, Bagriyanik A, et al. Resveratrol ameliorates 2,4-dinitrofluorobenzene-induced atopic dermatitis-like lesions through effects on the epithelium. PeerJ. 2016;4:e1889. 10.7717/peerj.1889

3. Alharris E, Alghetaa H, Seth R, Chatterjee S, Singh NP, Nagarkatti M, et al. Resveratrol attenuates allergic asthma and associated inflammation in the lungs through regulation of miRNA-34a that targets FoxP3 in mice. Front Immunol. 2018;9:2992. 10.3389/fimmu.2018.02992

4. Zhang YF, Liu QM, Gao YY, Liu B, Liu H, Cao MJ, et al. Attenuation of allergic responses following treatment with resveratrol in anaphylactic models and IgE-mediated mast cells. Food Funct. 2019;10(4):2030–9. 10.1039/C9FO00077A

5. Alharris E, Mohammed A, Alghetaa H, Zhou J, Nagarkatti M, Nagarkatti P. The ability of resveratrol to attenuate ovalbumin-mediated allergic asthma is associated with changes in microbiota involving the gut-lung axis, enhanced barrier function and decreased inflammation in the lungs. Front Immunol. 2022;13:805770. 10.3389/fimmu.2022.805770

6. Zhang W, Tang R, Ba G, Li M, Lin H. Anti-allergic and anti-inflammatory effects of resveratrol via inhibiting TXNIP-oxidative stress pathway in a mouse model of allergic rhinitis. World Allergy Organ J. 2020;13(10):100473. 10.1016/j.waojou.2020.100473

7. Wang S, Gong L, Mo Y, Zhang J, Jiang Z, Tian Z, et al. Resveratrol attenuates inflammation and apoptosis through alleviating endoplasmic reticulum stress via Akt/mTOR pathway in fungus-induced allergic airways inflammation. Int Immunopharmacol. 2022;103:108489. 10.1016/j.intimp.2021.108489

8. Shang X, Lin K, Yu R, Zhu P, Zhang Y, Wang L, et al. Resveratrol protects the myocardium in sepsis by activating the phosphatidylinositol 3-kinases (PI3K)/AKT/mammalian target of rapamycin (mTOR) pathway and inhibiting the nuclear factor-kappaB (NF-kappaB) signaling pathway. Med Sci Monit. 2019;25:9290–8. 10.12659/MSM.918369

9. Kim EN, Lim JH, Kim MY, Ban TH, Jang IA, Yoon HE, et al. Resveratrol, an Nrf2 activator, ameliorates aging-related progressive renal injury. Aging (Albany NY). 2018;10(1):83–99. 10.18632/aging.101361

10. Pfaffl MW. A new mathematical model for relative quantification in real-time RT-PCR. Nucleic Acids Res. 2001;29(9):e45. 10.1093/nar/29.9.e45

11. van der Weegen Y, Golan-Berman H, Mevissen TET, Apelt K, González-Prieto R, Goedhart J, et al. The cooperative action of CSB, CSA, and UVSSA target TFIIH to DNA damage-stalled RNA polymerase II. Nat Commun. 2020;11(1):2104. 10.1038/s41467-020-19643-7

12. Royce SG, Dang W, Yuan G, Tran J, El Osta A, Karagiannis TC, et al. Resveratrol has protective effects against airway remodeling and airway hyperreactivity in a murine model of allergic airways disease. Pathobiol Aging Age Relat Dis. 2011;1. 10.3402/PBA.v1i0.7134

13. Civelek M, Bilotta S, Lorentz A. Resveratrol attenuates mast cell mediated allergic reactions: Potential for use as a nutraceutical in allergic diseases? Mol Nutr Food Res. 2022; 66(15):e2200170. 10.1002/mnfr.202200170

14. Yang CC, Hung YL, Ko WC, Tsai YJ, Chang JF, Liang CW, et al. Effect of neferine on DNCB-induced atopic dermatitis in HaCaT cells and BALB/c mice. Int J Mol Sci. 2021;22(15):8237. 10.3390/ijms22158237

15. Liu J, Xu Y, Yan M, Yu Y, Guo Y. 18beta-Glycyrrhetinic acid suppresses allergic airway inflammation through NF-kappaB and Nrf2/HO-1 signaling pathways in asthma mice. Sci Rep. 2022;12(1):3121. 10.1038/s41598-022-06455-6

16. Wen W, Zhu S, Ma R, Wang L, Shen X, Li Y, et al. Correlation analysis of TGF-β1, TIMP-1, IL-1, IL-4, IL-6, IL-17, and TNF-α in refractory chronic rhinosinusitis: A retrospective study. Allergol Immunopathol (Madr). 2022;50(4):137-142. 10.15586/aei.v50i4.527

17. Batrakova E, Kartashova O, Babaskina L, Pashanova O. Effect of combined glucocorticoid therapy on bronchial asthma dynamics. Allergol Immunopathol (Madr). 2022;50(1):68–74. 10.15586/aei.v50i1.481

18. Yuan J-Y, Tong Z-Y, Dong Y-C, Zhao J-Y, Shang Y. Research progress on icariin, a traditional Chinese medicine extract, in the treatment of asthma. Allergol Immunopathol (Madr). 2022;50(1):9–16. 10.15586/aei.v50i1.490

19. Sussan TE, Gajghate S, Chatterjee S, Mandke P, McCormick S, Sudini K, et al. Nrf2 reduces allergic asthma in mice through enhanced airway epithelial cytoprotective function. Am J Physiol Lung Cell Mol Physiol. 2015;309(1):L27–36. 10.1152/ajplung.00398.2014

20. Lee JH, Lim JY, Jo EH, Noh HM, Park S, Park MC, et al. Chijabyukpi-tang inhibits pro-inflammatory cytokines and chemokines via the Nrf2/HO-1 signaling pathway in TNF-alpha/IFN-gamma-stimulated HaCaT cells and ameliorates 2,4-Dinitrochlorobenzene-induced atopic dermatitis-like skin lesions in mice. Front Pharmacol. 2020;11:1018. 10.3389/fphar.2020.01018