Download

ORIGINAL ARTICLE

Barrier proteins and eosinophilic esophagitis in children: the role of E-cadherin and filaggrin

Erica Rezendea*, Mariza Fariab, Ignez Candeloric, Juliana S Daudc, Flavia A Alvesb, Jair Cunha Juniord, Gesmar Silva Segundoa

aDepartment of Paediatrics, Federal University of Uberlândia (UFU), Uberlândia, Brazil

bFederal University of Uberlândia (UFU), Uberlândia, Brazil

cPathology Department, Federal University of Uberlândia (UFU), Uberlândia, Brazil

dDepartment of Immunology, Federal University of Uberlândia (UFU), Uberlândia, Brazil

Abstract

This study aimed to assess the protein expression of E-cadherin and filaggrin (FLG) in the oesophagus of paediatric and adolescent patients diagnosed with eosinophilic esophagitis (EoE). It is a cross-sectional study conducted with 24 patients with EoE and 17 control patients, from June 2015 to June 2018. The histological analyses were performed by a trained pathologist. The protein expression of E-cadherin and FLG in oesophageal biopsy fragments was determined using an immunohistochemical technique. The epidemiological data were retrieved from medical records. There were no statistical differences in age and sex between case-patients and control patients. Food allergy was significantly higher in patients with EoE, as was the number of eosinophils present in the oesophageal biopsy materials. The immunohistochemical studies did not indicate FLG expression in any patient from the two groups. E-cadherin showed significantly reduced expression in patients with EoE. We concluded that FLG did not seem to play an important role in the mucosal alteration in EoE and that E-cadherin under expression could be a promising marker of epithelial damage in these patients.

Key words: Barrier, children, E-cadherin, eosinophilic esophagitis, filaggrin, proteins

*Corresponding author: Erica Rezende, Department of Pediatrics at the Federal University of Uberlândia (UFU), Uberlândia, Brazil. Email address: [email protected]

Received 21 January 2022; Accepted 18 April 2022; Available online 1 July 2022

DOI: 10.15586/aei.v50i4.588

Copyright: Rezende E, et al.
License: This open access article is licensed under Creative Commons Attribution 4.0 International (CC BY 4.0). http://creativecommons.org/licenses/by/4.0/

Introduction and Objectives

The immune and inflammatory responses in eosinophilic esophagitis (EoE) remain to be elucidated. The interaction between genetic and environmental factors has been studied and, in addition to eosinophils, the role of the epithelial barrier has gained prominence in the discussion of the pathogenesis of this disease.1,2 The presence of eosinophils is conceptually accepted as a key element for diagnosis and as a marker of inflammatory activity resulting from EoE. However, in addition to cellular participation, some authors have recently observed the importance of the oesophageal epithelial barrier and its regulatory proteins.35

The functionality of the oesophageal epithelium is a complex process dependent on several factors. Structural changes induced by proteases, chemical injuries or trauma and dysfunction of key proteins responsible for epithelial junctions can lead to loss of protective balance and changes in cell permeability, observed in the inflammatory process caused by EoE.2,5,6 The involvement of oesophageal mucosa proteins has already been studied by authors who observed differences in filaggrin (FLG) messenger RNA expression when patients with active EoE and those treated were compared.7 FLG, whose alteration has been well documented in the skin of patients with atopic dermatitis, would be responsible for condensing the cytoskeleton and generating protective scales in the stratum corneum.8

Another protein involved in the integrity of cell junctions is E-cadherin, which helps in epithelial architecture and actively participates in the stabilisation of cell structure, integrity and differentiation.9This protein is a part of the intercellular junctions in epithelial cells, forming a structural adhesive of the mucosal barrier, separating the underlying tissue from the environment, allowing communication between cells and trans-cellular ionic transport.10,11

Understanding the participation of proteins in the oesophageal epithelial barrier is essential to elucidate the complex and multi-factorial nature of EoE. The goal of the present study was to assess the expression of E-cadherin and FLG in the oesophagus of paediatric and adolescent patients diagnosed with EoE.

Material and Methods

Ethical considerations

The present study was approved by the Research Ethics Committee of the Federal University of Uberlândia (UFU) (Protocol No. 37330414.3.0000.5152). The legal guardians of the participants and the adolescent participants signed an informed consent form.

Study population

Patients aged 0–18 years with a diagnosis of EoE and other gastrointestinal diseases, followed up at the Food Allergy and Children's Gastroenterology Service of the Hospital de Clínicas, Federal University of Uberlândia, State of Minas Gerais, Brazil, were invited to participate in the study from June 2015 to 2018. Twenty-four patients with EoE and 17 control patients were enrolled in the study. Data relating to epidemiology were collected from the patients’ medical records.

Upper digestive endoscopy

Endoscopic examinations were performed under anaesthesia in the endoscopy sector of the same unit by two experienced paediatric endoscopists, using Olympus XP-150, XP-140 and GIF-XP 160 gastroscopes, according to the size of the children. Fragments of oesophageal mucosa were collected, three in the middle oesophagus, and three in the lower oesophagus, stomach and duodenum for the anatomopathological examinations. Endoscopic findings were entered in medical records.

Histological analysis

The fragments removed during the upper digestive endoscopy were preserved in 10% buffered formalin and embedded in paraffin. Subsequently, they were sectioned into three micrometres thick slices, stained with haematoxylin and eosin and analysed by a trained pathologist under an optical microscope (Olympus BX 41) with 400-fold magnification.

Immunohistochemical analysis

Sections of three micrometres thick biopsy specimens embedded in paraffin were placed on histological slides and treated with 3-aminopropyltriethoxysilane (SIGMA, Chemical Co., USA). Then, they were deparaffinised in xylene (two baths of 20 min each), hydrated in decreasing concentrations of ethanol, washed in running water (10 min) and subjected to heat-induced antigen retrieval, using EDTA buffer (0.3722 g of EDTA per 1000 ml of buffer, pH 8.03), and heated in a high-power microwave oven (three cycles of 5 min). Subsequently, they were cooled for 20 min and washed under running water. Endogenous peroxidase activity was blocked with 10 volumes of hydrogen peroxide (four baths of 3 min). After being washed in running water and immersed in phosphate buffer saline (pH 7.4), they were incubated for 18 h at 5°C with the FLG monoclonal antibody (AE21) produced in mice (IgG, 200 micrograms/ml – Santa Cruz Biotechnology, USA) and rabbit monoclonal anti-E-cadherin antibody (clone EP700Y, Cell Marque, USA), followed by the incubation for 30 min in a polymer detector with peroxidase (Hi-Def rabbit HRP/mouse 954D-32; Cell Marque, USA). Staining was performed by incubation with substrate-chromogen 3,3'--diaminobenzidine developer solution in phosphate buffer saline (pH 7.4) for 5 min, followed by counterstaining with Harris' haematoxylin (1–2 min). The slides were dehydrated in increasing ethanol solutions, cleared in xylene and mounted with coverslips and damar gum. Positive controls were obtained using tissue sections of skin, which are known to express the assessed FLG antigens. The control used for E-cadherin was breast tissues with neoplastic infiltrations. Expression was considered present when the staining was detected throughout the thickness of the mucosal epithelium, and under expression when there were areas of negative staining in the upper two-thirds of the mucosa.

Statistical analysis

The Kolmogorov–Smirnov test was used to assess the normality of the distribution of variables. The Chi-square test and Fisher's exact test were used for categorical variables when the frequencies were less than five. Regarding the median age, an unpaired Student's t-test was used to determine statistical differences between EoE patients and control patients. The Mann–Whitney test was used for numerical variables. The significance level for all analyses was p ˂ 0.05. Analyses were performed using the GraphPad Prism 7.0a (La Jolla, California, USA) software and the SPSS Statistics (Armonk, NY, USA) software.

Results

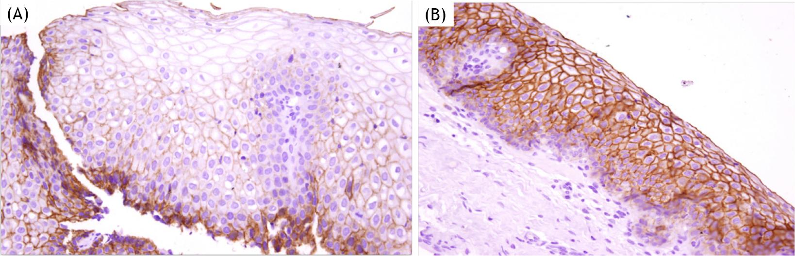
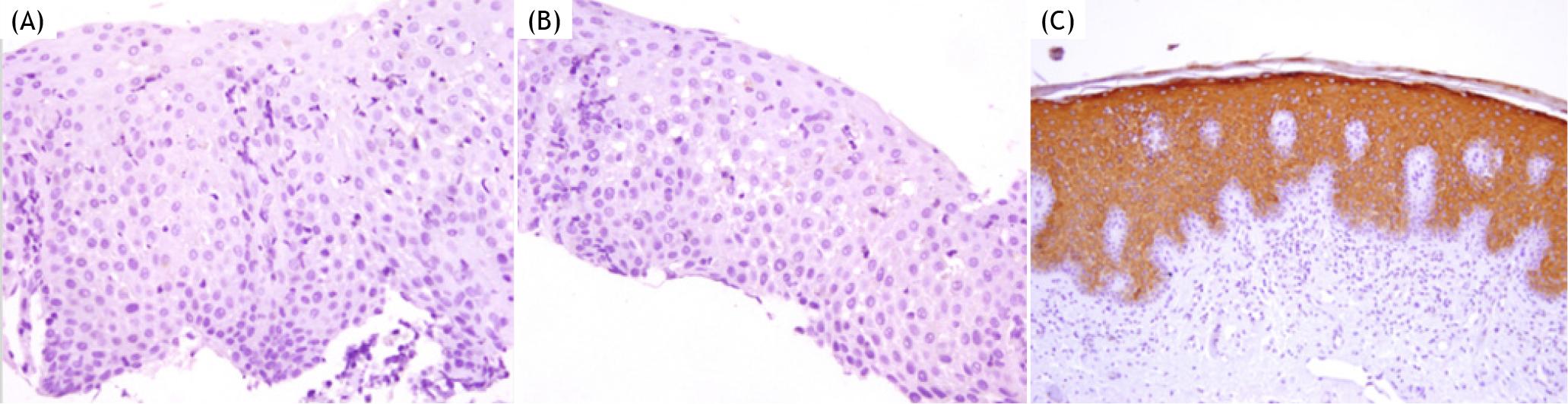
Table 1 shows the clinical data, the number of eosinophils and the expression of E-cadherin in patients with EoE and control patients. There was no statistical difference in age and sex among case-patients and control patients. The presence of food allergies (IgE and no IgE mediated) as vomiting, abdominal pain, diarrhoea and urticaria, was significantly greater in patients with EoE in comparison to control patients; however, there were no differences in the other atopic diseases (asthma, allergic rhinitis and atopic dermatitis). The diagnosis of food allergy was performed by open challenge tests under medical supervision after and before the sensitisation IgE tests. As expected, the number of eosinophils was higher in the EoE group than in the control group. The reduced, therefore altered, expression of E-cadherin was also significant in the patients of the EoE group in comparison to the control patients (Table 1; Figures 1.a and 1.b). On the other hand, and very interestingly, we did not observe FLG expression in the immunohistochemical assessments of the patients from the two groups (Figures 2.a and 2.b). To confirm the functionality of FLG-specific monoclonal antibodies used in the present study, we performed immunohistochemistry for FLG in skin specimens obtained from the control sample databank of the pathology sector, which demonstrated normally expected staining (Figure 2.c).

Table 1 Clinical data and E-cadherin expression in EoE patients and control patients.

EoE n = 24 Without EoE n = 17 p
Age (years)a 10.8 ± 0.1 8.6 ± 0.1 0.1166
Sexb
Male 15 (62.5%) 10 (58.8%) 0.2159
Female 9 (37.5%) 7 (41.1%)
Asthmab 9 (37.5%) 2 (11.7%) 0.0855
Rhinitisb 13 (54.1%) 14 (82.3%) 0.3211
Atopic dermatitisb 5 (20.8%) 0 (0.0%) 0.0650
Food allergyb 11 (45.8%) 0 (0.0%) 0.0009*
Number of eosinophilsc 41.5 (33.03–70.39) 0 (0.10– 1.78) ˂0.0001*
Altered E-cadherinb 13 (54.1%) 1 (5.8%) 0.0020*

aStudent’s t-test; bFisher’s exact test; * p ˂ 0.01.

Figure 1 (A) Photomicrograph (40 × 4 magnification) of immunohistochemical staining for E-cadherin exhibiting large areas of negative expression, mainly in the upper two-thirds of the mucosa in patients with EoE; 1. (B) Positive expression in the full thickness of the mucosal epithelium.

Figure 2 (A, B) Photomicrographs (40 × 4) of immunohistochemical staining for FLG in EoE patients and control patients; (C) Photomicrographs (40 × 4) of immunohistochemical staining of FLG in control skin specimen.

We also analysed the microscopic changes found in patients with EoE relating to normal or altered E-cadherin expression (Table 2). Only the number of eosinophils indicated a statistically significant difference, whereas the other findings indicated a similar difference. Therefore, had the number of samples been increased, the difference would have probably been the same.

Table 2 E-cadherin expression and histological findings in patients with EoE.

Histological findings Normal E-cadherin n = 11 Altered E-cadherin n = 13 p
Number of eosinophilsa 28 (1–52) 73 (22–100) 0.0179*
Papillary elongationb 2 (18.1%) 6 (46.1%) 0.0608
Basal cell hyperplasiab 6 (54.5%) 12 (92.3%) 0.0608
Spongiosisb 8 (72.7%) 13 (100%) 0.0815
Eosinophilic micro-abscessesb 2 (18.1%) 6 (46.1) 0.2108

aMann–Whitney test; bFisher’s exact test; * p ˂ 0.05

Discussion

Despite advances in understanding the pathophysiology of EoE, with consensual refinement for diagnosis and disease activity, there are still gaps in the understanding of the role played by the oesophageal epithelial barrier, the actual participation of its mucosal proteins and its permeability change in the pathophysiology of the disease. 1,4,12

EoE is an inflammatory oesophageal disease, with a significant increase in prevalence and recognition in children during the last decade. Its diagnosis is based on two pillars: symptoms and histology.13 Eosinophils are elements that have already been categorised by other authors as being of unique importance in the pathophysiology of the disease. In the present study, eosinophils were present in all patients with EoE. However, the fragility of the epithelial barrier and the integrity of its proteins may be relevant in its maintenance, perpetuation and, perhaps, at the beginning of the inflammatory process.2,4

In our patients, similarly to what was consensually observed in the world literature, the disease exhibited a strong correlation with atopic diseases such as food allergy and atopic dermatitis.3,4 In particular, patients with atopic dermatitis, the mutation of FLG expression and its consequent loss of function would be responsible for the impairment of skin permeability and subsequent allergic sensitisation.14,15

Some authors have observed that FLG and FLG gene expression was lower in the oesophagus than in the skin and is even more reduced in patients with EoE.16,17 However, our immunohistochemical analyses did not indicate FLG expression in the oesophagus of the patients from the two groups. On the other hand, our findings were similar to those found by Benedetto et al. (2008), who did not observe local expression of FLG in the middle, proximal and distal oesophagus of atopic and non-atopic patients. These authors concluded that the oesophagus-as a -non--keratin-producing mucosal surface organ-would explain the non-expression of this protein in the oesophageal epithelium of the assessed samples.19 For this reason, we consider that FLG should not be used as a biomarker of the oesophageal barrier.

On the other hand, the assessment of the expression of another junction protein (E-cadherin) indicated marked under expression in our patients with EoE in comparison to the control patients. E-cadherin is a part of the intercellular junctions in epithelial cells that form a structural adhesive of the mucosal barrier, separating the tissue from the environment and allowing communication between cells.20,21 The loss of adhesion could result from epithelial aggression observed in patients with EoE. This protein has already been studied in undifferentiated neoplasms, in which its under expression was associated with greater invasive power of tumours, indicating a clear involvement of the barrier.22,23 E-cadherin has also been studied in allergic diseases and seemed to contribute to the modulation of the immune response. The studies of this protein in patients with asthma and allergic rhinitis have indicated a reduction in its expression in the nasal and pulmonary epithelia.24,25 In the present study, patients with EoE were atopic in comparison to the control patients, and could exhibit deregulation in the modulation of this barrier protein.

In addition to the presence of eosinophils, other histological findings such as spongiosis, basal layer hyperplasia and papillary elongation have already been described in patients with EoE. Similarly, these findings were observed in the patients of the present study.2,3 These observations are the signs of mucosal aggression found in EoE and were present in greater amounts in patients diagnosed with EoE and E-cadherin under expression. It is worth noting that, even though only the number of EOS indicated a statistically significant difference, the other histological findings almost reached that difference. We attributed this fact to the small sample size of our study.

Impairment of the epithelial barrier with findings similar to those described in our patients has already been found in patients with EoE and those with severe oesophageal damage (repaired oesophageal atresia and cerebral palsy). Mucosal aggression could play a role in the genesis of inflammatory processes in these patients and might precede eosinophilia and possible allergen sensitisation. It is also possible to consider whether these patients would be part of a similar genetic profile that might predispose them. processes.26,27

The present study has some limitations, such as its cross-sectional design and the number of patients assessed. An interesting assessment would be the observation of E-cadherin throughout the treatment and control of EoE to determine the presence of under expression of this protein, even with the control of patients, and identify possible EoE phenotypes.

We could observe in our study that FLG does not seem to play an important role in the mucosal alteration caused by EoE and that E-cadherin under expression may be a promising marker of epithelial damage in patients with EoE. Further studies with a larger number of patients and other proteins existing in the oesophageal mucosa is necessary to understand the real participation of oesophageal barrier proteins in the pathophysiology of this disease, given that they can play a leading or supporting role in the inflammatory processes affecting these patients.

Acknowledgements

This study was financed in part by the Coordenação de Aperfeiçoamento de Pessoal de Nível Superior - Brasil (CAPES) - Finance Code 001

REFERENCES

1. Caldwell JM, Paul M, Rothemberg ME. Novel immunologic mechanisms in eosinophilic esophagitis. Curr Opin Immunol. 2017;48:114–21. 10.1016/j.coi.2017.08.006

2. Davis BP. Pathophysiology of Eosinophilic esophagitis. Clin Rev Allergy Immunol. 2018;55(1):9–42. 10.1053/j.gastro.2017.06.065

3. Lucendo AJ, Molina-Infante J, Arias Á, Arnim U, Bredenoord AJ, Bussmann C. Guidelines on eosinophilic esophagitis: evidence-based statements and recommendations for diagnosis and management in children and adults. United European Gastroenterol J. 2017;5(3):335–58. 10.1177/2050640616689525

4. Dellon ES, Liacouras CA, Molina-Infante J, Furuta GT, Spergel JM, Zevit N, et al., Updated international consensus diagnostic criteria for Eosinophilic esophagitis: proceedings of the AGREE conference. Gastroenterology. 2018;155(4):1022–33. 10.1053/j.gastro.2018.07.009

5. Schleimer R, Berdnikovs S. Etiology of epithelial barrier dysfunction in patients with type 2 inflammatory diseases. J Allergy Clin Immunol. 2017;139(6):1752–61. 10.1016/j.jaci.2017.04.010

6. Rochman M, Nurit PA, Rothemberg ME. Epithelial origin of eosinophilic esophagitis. J Allergy Clin Immunol. 2018; 14(1):10–23. 10.1016/j.jaci.2018.05.008

7. Chen Y, Merzdorf C, Paul DL, Goodenough DA. COOH terminus of occludin is required for tight junction barrier function in early Xenopus embryos. J Cell Biol. 1997;138(4):891–99. 10.1083/jcb.138.4.891

8. Palmer CN, Irvine AD, Kwiatkowski AT, Zhao Y, Liao H, Lee SP, et al. Common loss-of-function variants of the epidermal barrier protein filaggrin are a major predisposing factor for atopic dermatitis. Nat Genet. 2006;38(4):441–46. 10.1038/ng1767

9. Abdulnour SM, Al-Tawil Y, Gyftopoulos AA, Brown KL, Hansen M, Butcher KF. Alterations in junctional proteins, inflammatory mediators and extracellular matrix molecules in eosinophilic esophagitis. Clin Immunol. 2013;48(2):265–78. 10.1016/j.clim.2013.05.004

10. Takeichi M. Morphogenetic roles of classic cadherins. Curr Opin Cell Biol. 1995;7: 619–27. 10.1016/0955-0674(95)80102-2

11. Leckband D, Prakasam A. Mechanism and dynamics of cadherin adhesion. Annu Rev Biomed Eng. 2006;8: 259–287. 10.1146/annurev.bioeng.8.061505.095753

12. Hirano I, Chan E, Rank M, Sharaf R, Stollman N, Stukus D, et al. AGA institute and the joint task force on allergy-immunology practice parameters clinical guidelines for the management of eosinophilic esophagitis. Gastroenterology. 2020;158:1776–86. 10.1053/j.gastro.2020.02.038

13. Ferreira CT, Vieira MC, Furuta G, Barros FCLF, Chehade M. Eosinophilic esophagitis-Where are we today? J Pediatr. 2019;95(3):275–81. 10.1016/j.jped.2018.06.012

14. Tan HT, Ellis JA, Koplin JJ, Matheson MC, Gurrin LC, Lowe AJ, et al. Filaggrin loss-of-function mutations do not predict food allergy over and above the risk of food sensitization among infants. J Allergy Clin Immunol. 2012;130(5):1211–13. 10.1016/j.jaci.2012.07.022

15. Palmer CN, Irvine AD, Kwiatkowski AT, Zhao Y, Liao H, Lee SP, et al. Common loss-of-function variants of the epidermal barrier protein filaggrin are a major predisposing factor for atopic dermatitis. Nat Genet. 2006;38(4):441–46. 10.1038/ng1767

16. Blanchard C, Stucke EM, Burwinkel K, Caldwell JM, Collins MH, Ahrens A, et al. Coordinate interection between IL-13 and epitelial differentiation cluster genes in eosinophilic esophagitis. J Immunol. 2010;184(7):4033–41. 10.4049/jimmunol.0903069

17. Simon D, Radonjic S, Straumann A, Yousefi S, Simon HU. Active Eosinophilic esophagitis is characterized by epithelial barrier defects and eosinophil extracellular trap formation. Allergy. 2015;70(4):443–52. 10.1111/all.12570

18. Osawa R, Akiyama M, Shimizu H. Filaggrin gene defects and the risk of developing allergic disorders. Allergol Int. 2011;60(1):1–9. 10.2332/allergolint.10-RAI-0270

19. Benedetto AD, Qualia CM, Baroody FM, Beck LA. Filaggrin expression in oral, nasal, and Esophageal Mucosa. J Invest Dermatol. 2008;128(6):1594–97. 10.1038/sj.jid.5701208

20. Grunwald GB. The structural and functional analysis of cadherin calcium-dependent cell adhesion molecules. Curr Opin Cell Biol. 1993;5:797–80. 10.1016/0955-0674(93)90028-o

21. Bajpai S, Correia J, Fenf Y, Figueireso J, Sun SX, Longmore GD, et al.{alpha}-Catenin mediates initial E-cadherin dependent cell–cell recognition and subsequent bond strengthening. Proc Natl Acad Sci USA. 2008;105:18331–36. 10.1073/pnas.0806783105

22. Chan AO. E-cadherin in gastric cancer. World J Gastroenterol. 2006;12(2):199–203. 10.3748/wjg.v12.i2.199

23. Jeanes A, Gottardi CJ, Yap AS. Cadherins and cancer: how does cadherin dysfunction promote tumor progression? Oncogene. 2008;27:6920–29. 10.1038/onc.2008.343

24. Nawijn MC, Hackett TL, Postma DS, van Oosterhout AJ, Heijink IH. E-cadherin: gatekeeper of airway mucosa and allergic sensitization. Trends Immunol. 2011; 32(6):248–55. 10.1016/j.it.2011.03.004

25. Lee HJ, Kim B, Im NR, Lee DY, Kim HK, Lee SH, et al. Decreased expression. Of E-cadherin and ZO-1 in the nasal mucosa of patients with allergic rhinitis. Am J Rhinol Allergy. 2016;30:173–78. 10.2500/ajra.2016.30.4295

26. Nápolis ACN, Alves FA, Rezende ERMA, Segundo GRS. Esophageal eosinophilia in pediatric patients with cerebral palsy. Einstein. 2015;13(2):232–37. 10.1590/S1679-45082015AO3266

27. Krishnan U, Lijuan C, Andrew GJ, Rothenberg ME, Wen T. Analysis of eosinophilic esophagitis in children with repaired congenital esophageal atresia. J Allergy Clin Immunol. 2019; 143(4):1455–64. 10.1016/j.jaci.2018.08.040