Download

OPEN ACCESS

Echinococcus multilocularis induces surface high expression of inhibitory killer immunoglobulin-like receptor on natural killer cells

Bayindala, He Huang, Song Gao, Xinjian Xu*

Department of General Surgery, The Fifth Affiliated Hospital of Xinjiang Medical University, Urumqi City, Xinjiang Uygur Autonomous Region, 830011, China

Abstract

Alveolar echinococcosis (AE) is a malignant and fatal parasitic disease caused by the larvae of Echinococcus multilocularis (E. multilocularis), which inhibits the activity and proliferation of natural killer (NK) cells. In this study, the functional alteration of hepatic NK cells and their related molecules were studied. The AE-infected patient’s tissue was fixed with formalin, embedded in paraffin, and stained with Masson’s trichrome or hematoxylin and eosin (H&E). Single cells from AE-infected patient or E. multilocularis-infected mice were blocked with Fc-receptor (FcR), and stained with monoclonal antibodies, including CD16, CD56, CD3, KIR2DL1, granzyme B, perforin, Interferon gamma (IFN-γ), and tumor necrosis factor-α (TNFα) or isotype control, to measure molecules and cytokines of NK cells and analyzed by flow cytometry. The Sirius red staining was used to quantitate hepatic fibrosis by calculating quantitative collagen deposition. AE can adjust both the number of hepatic CD56+ NK cells and its KIR2DL1 expression processes. Moreover, the overexpression of KIR2DL1 in NK cells could downregulate the functioning of immune cells in the liver area close to parasitic lesions. The number and dysfunction of NK cells in E. multilocularis infection could be related to the molecule dynamics of cell surface inhibitory receptor Ly49A, leading to hepatic damage and progression of fibrosis. This study illustrated significant increase in hepatic fibrogenesis and apparent upregulation of hepatic CD56+ NK cell population and its KIR2DL1 expression in AE-infected patients. This opposite variation might be related to the impaired NK cells functioning, such as granzyme B, IFN-γ, and TNF-α secretion. In addition, the cell surface inhibitory receptor Ly49A was related to the intracellular cytokine secretion functions of NK cells.

Key words: alveolar echinococcosis, Echinococcus multilocularis, KIR2DL1, Ly49A, natural killer cells

*Corresponding author: Xinjian Xu, Department of General Surgery, The Fifth Affiliated Hospital of Xinjiang Medical University, No. 118, Henan West Road, Urumqi, Xinjiang Province, China. Email address: [email protected]

Received 4 June 2021; Accepted 9 July 2021; Available online 1 September 2021

DOI: 10.15586/aei.v49i5.465

Copyright: Bayindala, et al.
License: This open access article is licensed under Creative Commons Attribution 4.0 International (CC BY 4.0). http://creativecommons.org/licenses/by/4.0/

Introduction

Alveolar echinococcosis (AE) is a malignant and fatal parasitic disease caused by the larvae of Echinococcus multilocularis (E. multilocularis).1,2 This disease is also known as “parasitic cancer.” It can metastasize into other organs at a later stage of infection. Numerous studies have shown that E. multilocularis infection can cause the body to go into a state of immune tolerance, thus evading the attack of host’s immune system.3,4 If E. multilocularis continues to proliferate and infiltrate, the hepatic lesions continue to expand, leading to inflammation and immune reaction in host’s liver.5,6 If the AE patients are not treated or treated improperly, the 10-15-year mortality rate could be as high as 90% after initial diagnosis.7 Recent reports have indicated that the crucial innate actors of immune response are abnormalities that mediated the proliferation of lymph node cells in the animal model of AE.6,8 Recent studies have also found that the persistence of E. multilocularis infection is the result of immune tolerance, which is mainly mediated by T regulatory cells (Tregs).9 Natural killer (NK) cells, a kind of cytotoxic lymphocytes, are essential for human innate immune system because they provide rapid immune response to parasites and function without sensitization. NK cells play a crucial role in the regulation of diseases in humans.10 Presence of NK cells in hepatitis limits the formation of liver fibrosis and cancer.11,12 In AE, E. multilocularis infection inhibits the activity and proliferation of NK cells, implying that NK cells in AE patients with alveolar hydatid cannot perform normal immune surveillance functions, which leads to the formation of immune tolerance.13,14 A recent study has demonstrated that E. multilocularis can downregulate the immune response of NK cells by inducing the overexpression of NKG2A on the surface of NK cells. In addition, some studies have also found that the sustained expression of MICA/B molecules and TGF-β may lead to the inhibition of NKG2D in NK cells,15 thereby inhibiting NKG2D-dependent cytotoxicity, and causing immune escape of E. multilocularis in host’s NK cells.16 The killer immunoglobulin-like receptors (KIRs) play a crucial role in regulating NK effector function,17,18 and the inhibitory KIRs with their cognate ligands within specific class 1 HLA epitopes induces tolerance to target cells.19 KIR has two subtypes: inhibitory receptors and activating receptors. Among these, the inhibitory receptors of KIR are expressed highly, which can transmit inhibitory signals and reduce the function of NK cells.20 The KIR2DL1 belongs to the inhibitory-motif KIR. A recent study has reported that KIR2DL1 is related to the unresponsiveness of NK cells, rather than KIR2DL2 or KIR2DL4.21 Inhibitory NK cell receptors specific to classical major histocompatibility complex class I molecules include human KIR or murine C-type lectin-like Ly49 family receptors.22 Ly49A can inhibit the cytotoxicity ability of NK cells in mice.

However, whether KIR plays a role in the NK cells of AE-infected patients remains to be elucidated. Therefore, the present study demonstrates the potential role of KIR2DL1 in AE-infected patients and its underlying mechanism.

Methods

Patients and samples

The diagnosis of AE infection was done using enzyme-linked immunosorbent assay (ELISA) and histological examination of lesions. The liver specimens were obtained from 17 patients with AE infection (age: 45 years ± 10.1), consulting at The Fifth Affiliated Hospital of Xinjiang Medical University, China. Two specimens of the liver were taken from each patient: the first specimen from the site close to parasitic lesions, and the second one from the site distant from lesions. All procedures performed in the study involving human participants were in accordance to the standards of the Ethics Committee of The Fifth Affiliated Hospital of Xinjiang Medical University, China.

Animal model and infection

About 8-10-week-old pathogen-free female BALB/c mice were housed at specific pathogen-free facility with a 12-h light/dark cycle and provided with standard feed and water. BALB/c mice were used as an animal model of E. multilocularis infection, and tissue samples were collected. E. multilocularis metacestodes were obtained from intraperitoneal lesions and maintained in Meriones unguiculatus. Intrahepatic injection of 0.1-mL E. multilocularis suspension was given to each experimentally infected mouse. The mice in the control group were injected with saline using the same procedure. The mice were sacrificed at 4, 12, and 24 weeks after E. multilocularis-infected animal model was established. All animal experiments were approved by the Institutional Animal Care and Use Committee of the Fifth Affiliated Hospital of Xinjiang Medical University, China.

Flow cytometry analysis

For single-cell suspension, the AE-infected patient’s tissue was cut into 0.5 × 0.5-cm sections, followed by mechanical disaggregation using a tissue disaggregator. Flow cytometry was used to identify NK cells. Single cells from liver tissue were blocked with Fc-receptor and stained with conjugated monoclonal antibodies with CD16 (BD Biosciences, Mississauga, Canada), CD56 (BD Biosciences), CD3 (BD Biosciences), KIR2DL1 (BD Biosciences), granzyme B (BioLegend, San Diego, USA), perforin (BioLegend), Interferon gamma (IFN-γ) (BD Biosciences), and tumor necrosis factor-α (TNF-α) (BioLegend) or isotype control to measure molecules and cytokines of NK cells, and then analyzed by flow cytometry. To detect intracellular cytokine, 1 × 106 lymphocytes were stimulated by Cell Stimulation Cocktail cultured for 4 h at 37°C. These cells were then harvested and labeled with anti-CD56 and anti-CD3 antibodies for 30 min at 4°C, and analyzed by flow cytometry.

Liver staining (hematoxylin and eosin staining, Sirius red staining, and Masson’s trichrome staining)

Liver samples were fixed with formalin, embedded in paraffin, and stained with Masson’s trichrome or Hematoxylin and Eosin (H&E) for pathological observations. Tissues were fixed in 4% paraformaldehyde in a neutral buffered formalin, embedded in paraffin, and cut into 4-mm serial sections. Sirius red staining was used to quantify hepatic fibrosis, which calculates the quantitative collagen deposition by detecting the percentage of area containing Sirius red.

Statistical analysis

The results are presented as mean ± standard deviation (SD). Differences between the groups were calculated using ANOVA and Student’s t-test for electron microscopy data and χ2 for immunohistochemistry data. The correlation coefficient analysis was performed using Spearman’s rho. Differences were considered significant if P < 0.05.

Results

Expression of KIR2DL1 was markedly higher in NK cells of AE-infected patients

In order to investigate the effect of AE infection on liver fibrosis, histological analysis was conducted on sections of liver tissue of AE-infected patients. Masson’s staining showed markedly increased hepatic fibrogenesis in the liver area close to lesions. There was a strong expression of collagen immunostaining in extracellular matrix (ECM), which is presented as a diffused distribution compared to the areas distant from liver lesions (Figure 1A). Immunohistochemical analysis showed that in AE-infected patients, the expression of KIR2DL1 was significantly higher in the areas closer to liver lesions than the areas distant from liver lesions (Figure 1B). Liver NK cells from 17 AE-infected patients were isolated and analyzed by flow cytometry to determine the percentage of CD56+ NK cells expressing KIR2DL1. After AE infection, areas close to liver lesions resulted in a significant enrichment of CD56+ NK cells with higher percentage and numbers compared to the areas distant from liver lesions (Figure 1C). The above results indicated that AE infection could affect both the number of hepatic CD56+ NK cell and its KIR2DL1 expression processes.

Figure 1 The expression of fibrosis marker and KIR2DL1 in E. multilocularis-infected livers of AE patients. (A) Masson’s trichrome staining for collagen in AE patient’s liver sections; (B) The expression of KIR2DL1 in the liver were detected by immunohistochemistry; (C) The percentage of CD56+NK cells expressing KIR2DL1 from AE-infected patients were analyzed by flow cytometry. “Close”: liver area close to E. multilocularis lesion; “Distance”: liver area distant from E. multilocularis lesion. Values represent means ± SD. ***p < 0.005, versus Distance group.

High expression of KIR2DL1 in liver areas closer to parasitic lesions of AE-infected patients impairs NK cells functioning

NK cells recognize pathogens by the activation of surface receptors and play a protective role against infectious pathogens through the secretion of cytokines such as granzyme B, IFN-γ, and perforin. To clarify the effect of KIR2DL1 overexpression on NK cells and the overall functional role in AE-infected patients, a functional analysis was performed by examining cytokine production using flow cytometry. Compared to KIR2DL1+ NK cells, a significant increase in granzyme B and IFN-γ expressions was observed in the KIR2DL1- NK cells, in the liver areas closer to and distant from parasitic lesions (Figures 2A and 2B). Further, the expression levels of perforin and TNF-α were markedly higher in KIR2DL1- NK cells in the liver area closer to parasitic lesions, while perforin levels had no significant change in the areas distant from liver lesions (Figure 2C). Conversely, higher expression levels of TNF-α were observed in KIR2DL1+ NK cells in the areas distant from liver lesions (Figure 2D). These results indicated that the overexpression of KIR2DL1 in NK cells might downregulate the functioning of immune cells in the liver area closer to parasitic lesions, which helped easy growth of pathogen in the liver.

Figure 2 High expression of KIR2DL1 attenuated the NK cell’s function in the liver area close to the parasitic lesions of AE infected patients. (A) The percentage of granzyme B + in liver NK cells after infection; (B) The percentage of IFN-γ + in liver NK cells after infection; (C) The percentage of perforin + in liver NK cells after infection; (D) The percentage of TNF-α+ in liver NK cells after infection. All data were measured by flow cytometry. “Close”: liver area close to E. multilocularis lesion; “Distance”: liver area distant from E. multilocularis lesion. Values represent means ± SD. ***p < 0.005, versus KIR2DL1+ NK group.

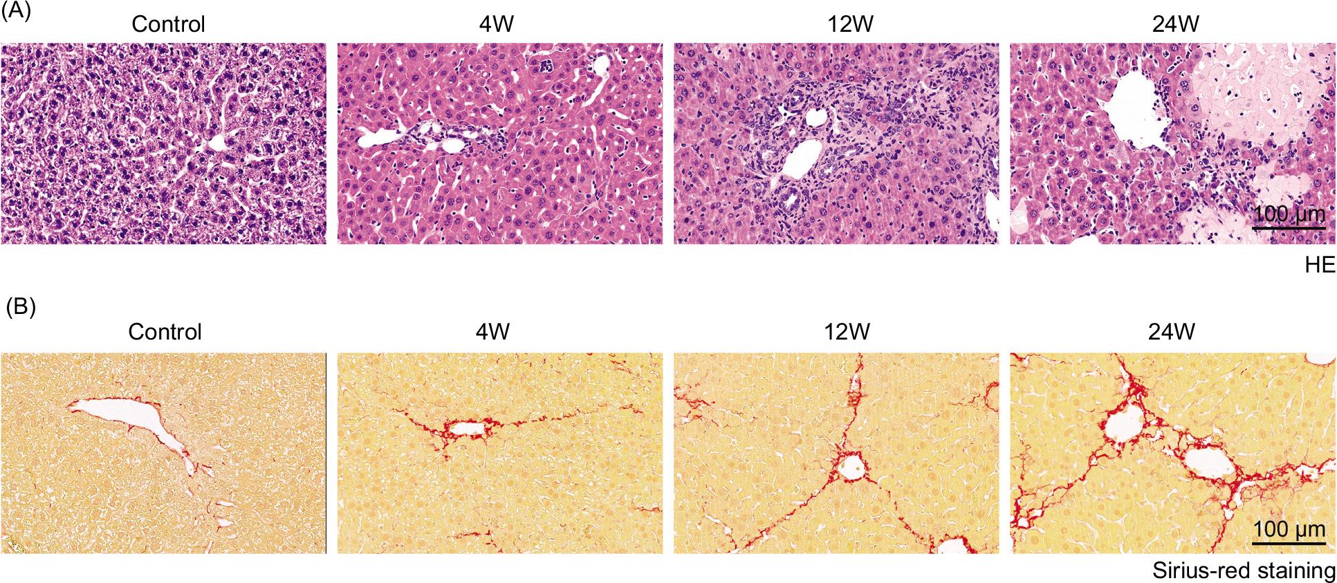
E. multilocularis induces hepatic damage and fibrosis in mice

In order to establish the AE-infected animal model, BALB/c mice were infected with E. multilocularis. At the early stage (4 weeks) of this E. multilocularis-infected animal model, a few lymphocytes infiltrated the portal areas, and development of fibrous tissue was observed in infected areas, compared to the control group. From 4 to 12 weeks of infection and proliferation of fibroblasts, inflammatory cells in the areas closer to parasitic lesions were significantly higher than in the 4th week sample. An apparent significant increase in liver fibrosis was observed in the areas closer to lesions. Until 24 weeks of E. multilocularis infection, the expression of collagen increased significantly in the areas closer to lesions, and typical granulomatous and degenerating hepatocytes, hepatic fibrogenesis, and fibrous infiltrate were observed compared to the 4-week group (Figures 3A and 3B). These results indicated that E. multilocularis infection could induce hepatic damage and fibrosis progression in mice.

Figure 3 Hepatic histopathological alterations and fibrogenesis in E. multilocularis infected mice. (A) The liver sections using hematoxylin and eosin staining. The blue color represents fibrotic changes within the liver core. (B) Liver sections staining with Sirius Red, the fibrotic segments are red.

Ly49A overexpression in NK cells of E. multilocularis-infected mice

In order to determine the proliferation of intrahepatic NK cells in E. multilocularis infection, liver cells were isolated in E. multilocularis-infected mice and analyzed by flow cytometry to determine the percentage of NK cells. In the control group, NK cells accounted for less than 5% of the intrahepatic lymphocytes. However, increase in the percentage of NK cells was observed with increase in intrahepatic parasitic load. From 12 to 24 weeks, E. multilocularis infection resulted in a significant enrichment in percentage and numbers of NK cells in the liver compared to the control group (Figure 4A). In addition, the expression of Ly49A in NK cells was studied to estimate immune response and tolerance of E. multilocularis infection. As shown in Figure 4B, there was a remarkable difference between E. multilocularis infected group and the control group at 12 and 24 weeks, and the expression of inhibitory receptor Ly49A in NK cells increased remarkably in infected mice at 12 and 24 weeks compared to the control group. These results suggested that the number and functioning of NK cells in E. multilocularis infection might be related to the dynamics of cell surface inhibitory receptor Ly49A molecule.

Figure 4 The expression of Ly49A on the hepatic NK cells in E. multilocularis infected mice. (A) The percentage of NK cells in the liver of E. multilocularis infected mice during different time points. (B) The percentage of Ly49A+ NK cells in the liver NK cells after E. multilocularis infection in mice during different time points. Values represent means ± SD. ** p < 0.01, *** p < 0.005, versus control group.

NK cell function impaired in E. multilocularis-infected mice through the regulation of Ly49A

In order to explore the function of Ly49A+ NK cells in E. multilocularis-infected animal model, the intracellular cytokine production from Ly49A+ NK cells was analyzed by flow cytometry. There was no significant difference in the expression levels of granzyme B between control and Ly49A+ NK cells at 4 weeks after E. multilocularis infection (Figure 5A). However, greater inhibition of cytokine production was observed in the Ly49A+ NK cells of E. multilocularis-infected mice; secretion of granzyme B, IFN-γ, and TNF-α was significantly low in Ly49A+ NK cells than that in the control group at 12–24 weeks (Figures 5A–C). Taken together, these data suggested that the intracellular cytokine secretion functions of Ly49A+ NK cells were impaired in E. multilocularis-infected mice.

Figure 5 High expression of Ly49A attenuated the NK cell’s function in E. multilocularis infected mice. (A) The percentage of granzyme B + in liver NK cells after infection; (B) The percentage of IFN-γ + in liver NK cells after infection; (C) The percentage of TNF-α+ in liver NK cells after infection. All data were measured by flow cytometry. Values represent means ± SD. **p < 0.01, ***p < 0.005, versus control group.

Discussion

The small tapeworm genus Echinococcus encompasses multiple species and genotypes. Among these, AE caused by E. multilocularis poses considerable health risks to humans. In the process of AE infection, parasite eggs infect appropriate intermediate hosts and migrate to the hepatic tissue. The viable and proliferating AE lesions are characterized by extensive conglomerate of small vesicles, and E. multilocularis can reside with inflowing infiltrative growth and cause serious vasculature infection.14 The number of hepatic NK cells is markedly increased in AE patient compared to normal healthy individual; however, the expression levels of NK cells-associated cytotoxic mediators are remarkably lower than that in normal healthy person, indicating that NK cells play a vital role in the pathogenesis of AE.23 A recent study has reported that AE is an immune-related parasitic infection, and NK cells mediate AE immune regulatory processes.24 In AE patients, inhibition of NK cells leads to lower cytotoxicity, and the expression of NKG2D on CD8+ T lymphocytes is lacking in liver sections.25 NK cell population in the bone marrow exhibits certain tissue specificity. In the peripheral blood, NK cells are distributed in the lymph nodes, bone marrow, spleen, liver, and lungs, which directly kills target cells without any prior exposure and damage to healthy “self” cells. The natural immune cells (NK or Natural Killer T [NKT] cells) in the liver account for about 50% of total lymphocytes, which is much higher than the proportion of peripheral blood and other tissues and organs. The liver NK cells account for 25%–40% of the total liver lymphocytes, which is more than five times the proportion of NK cells in the spleen or peripheral blood lymphocytes.26 Therefore, functioning of NK cells in the liver is vital for the immune system. A previous study has reported that the number and proportion of NK cells in AE-infected patient is significantly lower than that in normal person, while the number and proportion of T and B lymphocyte subgroups has not changed significantly.27 These results suggest that NK cells in AE-infected patients cannot perform normal immune surveillance functions, thereby inducing the immune tolerance state, and E. multilocularis or their secreted components can inhibit the number, phenotype, and functioning of liver NK cells.

Thus, this study has demonstrated that CD56+ NK cells were significantly developed in the liver of AE-infected patients, thereby inducing inflammation, KIR2DL1 expression, and fibrosis. Such variation might result in the down-regulated functioning of immune cells in the liver area closer to parasitic lesions; the overexpression of KIR2DL1 in NK cells could have low cytotoxicity, which helped easy progress of pathogen in the liver. Recent research has established that KIR2DL1 could be associated with potent NK cell activity and immunity.28 The reconstitution of KIR2DL1-expressing NK cells was associated with decreased NK cells. This implies that signaling transduction through KIR2DL1 protein suppresses the cytotoxicity of antitumor NK cells. The local environment of the liver may affect liver NK cells by reducing their ability to respond to stimuli, thereby promoting immune tolerance and pathogen infection in the liver.29 It mainly implies immune tolerance. In the process of AE parasitism, it induces the upregulation of killer immunoglobulin-like receptors on the surface of NK cells in the liver, causing NK cells to become immune-depleted or incompetent. In this study, an E. multilocularis-infected animal model was established. The studies conducted on this model showed that E. multi-locularis infection can induce hepatic damage and fibrosis progression, and NK cells numeric and functional changes in hepatic tissue of E. multilocularis-infected mice, which might be related to the dynamics of cell surface inhibitory receptor Ly49A molecule. Moreover, this study also found that the expression levels of granzyme B, IFN-γ, and TNF-α were significantly lower in Ly49A+ NK cells. Previous studies have also indicated that Ly-49A and Ly-49G2 NK receptors have ability to inhibit NK cytotoxicity.

Conclusion

In summary, this study illustrated significant increase in hepatic fibrogenesis and apparent upregulation of hepatic CD56+ NK cell population and KIR2DL1 expression in AE-infected patients. Such opposite variation might be related to the impaired functioning NK cells such as granzyme B, IFN-γ, and TNF-α secretion. In E. multilocularis-infected animal model, we also found that the cell surface inhibitory receptor Ly49A was related to the intracellular cytokine secretion functions of NK cells. Further studies are required to determine the parasite and/or host mechanisms involved in the activation of KIR2DL1 or Ly49A.

Funding

This work was supported by the Natural Science Foundation of Xinjiang Uygur Autonomous Region (Grant No. 2020D01C225).

Competing interests

The authors had no conflicts of interest to disclose.

Ethics approval

All procedures performed in this study involving humans were in accordance to the standards of the Ethics Committee of the Fifth Affiliated Hospital of Xinjiang Medical University and the 1964 Helsinki Declaration and its later amendments for ethical research involving human subjects.

All animal experiments were approved by the Ethics Committee of the Fifth Affiliated Hospital of Xinjiang Medical University for the use of animals and conducted in accordance to the National Institutes of Health Laboratory Animal Care and Use Guidelines.

Statement of informed consent

Written informed consent was obtained from legally authorized representative(s) to publish anonymized patient information obtained in this article.

Authors’ contribution

Bayindala and He Huang designed the study and supervised data collection. Song Gao analyzed and interpreted the data. Xinjian Xu prepared and reviewed the draft of the manuscript for publication. All authors have read and approved the final manuscript.

REFERENCES

1. Farrokh D, Zandi B, Rad MP, Tavakoli MJAoIm. Hepatic alveolar echinococcosis. Arch Iran Med. 2015;18(3):199–202. PMid: 25773697.

2. Atanasov G, Benckert C, Thelen A, Tappe D, Frosch M, Teichmann D, et al. Alveolar echinococcosis-spreading disease challenging clinicians: A case report and literature review. World J Gastroenterol (WJG). 2013;19(26):4257. 10.3748/wjg.v19.i26.4257

3. Wang Y, Lv S, Wang Q, Wang C, Zhu M, Ma Z, et al. Mechanisms underlying immune tolerance caused by recombinant Echinococcus granulosus antigens Eg mMDH and Eg10 in dendritic cells. PloS One. 2018;13(9):e0204868. 10.1371/journal.pone.0204868

4. Gottstein B, Wang J, Boubaker G, Marinova I, Spiliotis M, Müller N, et al. Susceptibility versus resistance in alveolar echinococcosis (larval infection with Echinococcus multi-locularis). Vet Parasitol. 2015;213(3–4):103–29. 10.1016/j.vetpar.2015.07.029

5. Wang J, Lin R, Zhang W, Li L, Gottstein B, Blagosklonov O, et al. Transcriptional profiles of cytokine/chemokine factors of immune cell-homing to the parasitic lesions: A comprehensive one-year course study in the liver of E. multilocularis-infected mice. PLoS One. 2014;9(3):e91638. 10.1371/journal.pone.0091638

6. Vuitton DA, Gottstein B. Echinococcus multilocularis and its intermediate host: A model of parasite–host interplay. J Biomed Biotechnol. 2010;2010:923193. 10.1155/2010/923193

7. Piarroux M, Piarroux R, Giorgi R, Knapp J, Bardonnet K, Sudre B, et al. Clinical features and evolution of alveolar echinococcosis in France from 1982 to 2007: Results of a survey in 387 patients. J Hepatol. 2011;55(5):1025–33. 10.1016/j.jhep.2011.02.018

8. Margos MC, Grandgirard D, Leib S, Gottstein B. In vitro induction of lymph node cell proliferation by mouse bone marrow dendritic cells following stimulation with different Echinococcus multilocularis antigens. J Helminthol. 2011, Jun;85(2)128–37. 10.1017/S0022149X10000878

9. Wang J, Gottstein B. Immunoregulation in larval Echinococcus multilocularis infection. Parasite Immunol. 2016, Mar;38(3)182–92. 10.1111/pim.12292

10. Tian Z, Gershwin ME, Zhang C. Regulatory NK cells in autoimmune disease. J Autoimmun. 2012 Sep;39(3):206–15. 10.1016/j.jaut.2012.05.006

11. Tosello-Trampont A, Surette FA, Ewald SE, Hahn YS. Immunoregulatory role of NK cells in tissue inflammation and regeneration. Front Immunol. 2017 Mar;8:301. 10.3389/fimmu.2017.00301

12. Wahid B, Ali A, Rafique S, Saleem K, Waqar M, Wasim M, et al. Role of altered immune cells in liver diseases: A review. Gastroenterol Hepatol. 2018 Jun–Jul;41(6)377–88. 10.1016/j.gastrohep.2018.01.014

13. Bellanger A-P, Mougey V, Pallandre J-R, Gbaguidi-Haore H, Godet Y, Millon L. Echinococcus multilocularis vesicular fluid inhibits activation and proliferation of natural killer cells. Folia Parasitol (Praha). 2017 Aug;64:2017.029. 10.14411/fp.2017.029

14. Abulizi A, Shao Y, Aji T, Li Z, Zhang C, Aini A, et al. Echinococcus multilocularis inoculation induces NK cell functional decrease through high expression of NKG2A in C57BL/6 mice. BMC Infect Dis. 2019, Sep.;19(1):1–12. 10.1186/s12879-019-4417-1

15. Lazarova M, Steinle AJ. Impairment of NKG2D-mediated tumor immunity by TGF-β. Front Immunol. 2019,Nov 15;10:2689. 10.3389/fimmu.2019.02689

16. Yin S, Chen X, Zhang J, Xu F, Fang H, Hou J, et al. The effect of Echinococcus granulosus on spleen cells and TGF-β expression in the peripheral blood of BALB/c mice. Parasite Immunol. 2017;39(3):e12415. 10.1111/pim.12415

17. Béziat V, Hilton HG, Norman PJ, Traherne JA. Deciphering the killer-cell immunoglobulin-like receptor system at super-resolution for natural killer and T-cell biology. Immunology. 2017;150(3):248–64. 10.1111/imm.12684

18. Tukwasibwe S, Nakimuli A, Traherne J, Chazara O, Jayaraman J, Trowsdale J, et al. Variations in killer-cell immunoglobulin-like receptor and human leukocyte antigen genes and immunity to malaria. Cell Mol Immunol. 2020;17:799–806. 10.1038/s41423-020-0482-z

19. Wauquier N, Petitdemange C, Tarantino N, Maucourant C, Coomber M, Lungay V, et al. HLA-C-restricted viral epitopes are associated with an escape mechanism from KIR2DL2+ NK cells in Lassa virus infection. EBioMed. 2019 Feb;40:605–13. 10.1016/j.ebiom.2019.01.048

20. Mahaweni NM, Ehlers FA, Bos GM, Wieten LJ. Tuning natural killer cell anti-multiple myeloma reactivity by targeting inhibitory signaling via KIR and NKG2A. Front Immunol. 2018, Dec 4;9:2848. 10.3389/fimmu.2018.02848

21. Maeda N, Izumiya C, Yamamoto Y, Oguri H, Kusume T, Fukaya TJF, et al. Increased killer inhibitory receptor KIR2DL1 expression among natural killer cells in women with pelvic endometriosis. Fertility. 2002;77(2):297–302. 10.1016/S0015-0282(01)02964-8

22. Michaëlsson J, Achour A, Salcedo M, Kåse-Sjöström A, Sundbäck J, Harris RA, et al. Visualization of inhibitory Ly49 receptor specificity with soluble major histocompatibility complex class I tetramers. Eur J Immunol. 2000;30(1):300–7. 10.1002/1521-4141(200001)30:1<300::AID-IMMU300>3.0.CO;2-S

23. Zhang C, Lin R, Li Z, Yang S, Bi X, Wang H, et al. Immune exhaustion of T cells in alveolar echinococcosis patients and its reversal by blocking checkpoint receptor TIGIT in a murine model. Hepatology. 2020 Apr;71(4):1297–1315. 10.1002/hep.30896

24. Wang J, Jebbawi F, Bellanger AP, Beldi G, Millon L, Gottstein B. Immunotherapy of alveolar echinococcosis via PD-1/PD-L1 immune checkpoint blockade in mice. Parasite Immunol. 2018;40(12):e12596. 10.1111/pim.12596

25. Zhang S, Hüe S, Sène D, Penfornis A, Bresson-Hadni S, Kantelip B, et al. Expression of major histocompatibility complex class I chain-related molecule A, NKG2D, and transforming growth factor-β in the liver of humans with alveolar echinococcosis: New actors in the tolerance to parasites? J Infect Dis. 2008;197(9):1341–9. 10.1086/586709

26. Wang Y, Zhang C. The roles of liver-resident lymphocytes in liver diseases. Front Immunol. 2019;10:1582. 10.3389/fimmu.2019.01582

27. Nono JK, Lutz MB, Brehm K. A secreted Echinococcus multilocularis activin A homologue promotes regulatory T cell expansion. BioRxiv. 2019:618140. 10.1101/618140

28. Ureshino H, Shindo T, Sano H, Kubota Y, Ando T, Kidoguchi K, et al. Reconstitution of NK cells expressing KIR3DL1 is associated with reduced NK cell activity and relapse of CML after allogeneic hematopoietic stem cell transplantation. Int J Hematol. 2019;111:733–738. 10.1007/s12185-019-02809-5

29. Zheng M, Tian Z. Liver-mediated adaptive immune tolerance. Front Immunol. 2019, Nov 5;10:2525. 10.3389/fimmu.2019.02525