Download

OPEN ACCESS

Epalrestat suppresses inflammatory response in lipopolysaccharide-stimulated RAW264.7 cells

Keisuke Sato, Ryosuke Tatsunami*, Koji Wakame

Department of Pharmacy, Hokkaido University of Science, Sapporo, Japan

Abstract

Introduction and objectives: Lipopolysaccharide (LPS) is a potent inducer of inflammatory response. Inflammation is a major risk factor for many diseases. Regulation of inflammatory mediator and pro-inflammatory cytokine levels could be a potential therapeutic approach to treat inflammatory injury. The purpose of the present study was to determine whether epalrestat (EPS), which is used for the treatment of diabetic neuropathy, suppresses inflammatory response in LPS-stimulated RAW264.7 cells.

Material and methods: The effects of EPS at near-plasma concentration on the levels of pro-inflammatory cytokines and inflammatory mediators was examined using by MTS assay, quantitative RT-PCR analysis, and western blotting in LPS-stimulated RAW264.7 cells.

Results: EPS suppressed mRNA and protein expression levels of pro-inflammatory cytokines, including IL-1β, IL-6, and TNFα, in RAW264.7 cells stimulated with LPS. EPS also affected inflammatory mediators such as iNOS and NF-κB in LPS-stimulated RAW264.7 cells.

Conclusions: In this study, we demonstrated for the first time that EPS suppresses inflammatory response in LPS-stimulated RAW264.7 cells. From these results, we propose that targeting the regulation of pro-inflammatory cytokine levels and inflammatory mediators by EPS is a promising therapeutic approach to treat inflammatory injury. It is expected that EPS, whose safety and pharmacokinetics have been confirmed clinically, would be useful for the treatment of inflammatory diseases.

Key words: epalrestat, inflammatory response, inflammatory cytokine, inflammatory mediator, pro-inflammatory cytokine

*Corresponding author: Ryosuke Tatsunami, Department of Pharmacy, Hokkaido University of Science, 0068585 Sapporo, Japan. E-mail address: [email protected]

Received 1 January 2021; Accepted 30 April 2021; Available online 1 September 2021

DOI: 10.15586/aei.v49i5.102

Copyright: Sato K, et al.
License: This open access article is licensed under Creative Commons Attribution 4.0 International (CC BY 4.0). http://creativecommons.org/licenses/by/4.0/

Introduction

Lipopolysaccharide (LPS) is the most common pathogenic endotoxin component in the outer membrane of Gram-negative bacteria and is essential for bacterial cell integrity, viability, and defense against environmental stresses. LPS is highly conserved among almost all Gram-negative bacteria and is a potent inducer of inflammatory response.1 Inflammation is a major risk factor for many diseases, and macrophages are important immune cells that serve as the first line of defense against invading agents (bacteria, viruses, and fungi).2 During inflammation, macrophages produce excessive amounts of inducible nitric oxide (NO) synthase (iNOS) as inflammatory mediator and pro-inflammatory cytokines, such as interleukin-1β (IL-1β), IL-6, and tumor necrosis factor-alpha (TNFα).2,3 The excessive production of pro-inflammatory cytokines can exacerbate a wide range of diseases, including allergy, autoimmune diseases, cancer, and metabolic syndromes.4,5 Nuclear factor kappa-B (NF-κB) mediates the induction of pro-inflammatory cytokines, such as IL-1β, IL-6, and TNF-α, in monocytes/macrophages. Many of these cytokines may induce additional expression of pro-inflammatory cytokines and chemokines by activating NF-κB in innate immune cells and fibroblasts, leading to additional recruitment of inflammatory immune cells and propagation of inflammation.6 Therefore, the regulation of inflammatory mediators, such as iNOS and NF-κB, and pro-inflammatory cytokines, including IL-1β, IL-6, and TNFα, may be a potential therapeutic approach to treat inflammatory injury.

Nuclear factor erythroid 2-related factor 2 (Nrf2) is an important transcription factor that plays a fundamental role in regulating the expression of antioxidant genes, such as heme oxygenase-1 (HO-1) and glutamate-cysteine ligase (GCL).79 It has been reported that knockout of Nrf2 attenuates anti-inflammatory effects,10 whereas activation of Nrf2 reduces inflammation.11 However, the detailed mechanism of the suppression of inflammation by Nrf2 is not understood. A recent study has demonstrated that Nrf2 binds upstream of pro-inflammatory cytokine genes IL-1β and IL-6.12 There are reports that Nrf2 activators retain the potential to act as an alternative anti-inflammatory agent. In fact, sulforaphane is a potent Nrf2 activator and exerts anti-inflammatory effects.13,14

Epalrestat (EPS) (5-[(1Z,2E)-2-methyl-3-phenyl propenylidene]-4-oxo-2-thioxo-3-thiazolidine acetic acid; Ono Pharmaceuticals, Osaka, Japan) has received approval for use in Japan for the treatment of diabetic neuropathy. EPS is an inhibitor of aldose reductase, a rate-limiting enzyme in the polyol pathway. Under hyperglycemic conditions, EPS reduces accumulation of intracellular sorbitol, which is implicated in the pathogenesis of diabetic complications.15 Recently, we have found that EPS increases the intracellular levels of glutathione (GSH), which is important for protection against oxidative injury, in rat Schwann cells.16 In rat Schwann cells, EPS increases HO-1 levels through transcriptional regulation by Nrf2, which is a key transcription factor that plays a central role in regulating antioxidant gene expression.17 In addition, EPS increases HO-1 levels in bovine aortic endothelial cells thru activation of Nrf2.18 The purpose of the present study was to determine whether (1) EPS suppresses inflammatory response in LPS-stimulated RAW264.7 cells; (2) EPS has an effect on the levels of pro-inflammatory cytokines IL-1β, IL-6, and TNFα, and (3) EPS affects such inflammatory mediators as iNOS and NF-κB.

Materials and Methods

Cell culture and treatment with EPS and LPS

RAW264.7 cells were purchased from European Collection of Authenticated Cell Cultures (Salisbury, UK). Cells were grown to 80–90% confluence at 37°C in Dulbecco’s modified Eagle’s medium (DMEM) containing 10% fetal bovine serum (FBS), L-glutamine (4 mM), penicillin (100 U/mL), and streptomycin (100 μg/mL) in a humidified atmosphere of 5% CO2 and 95% air. Before treating cells with EPS (Wako Pure Chemical Industries, Osaka, Japan) or LPS (Sigma-Aldrich, St. Louis, MO, USA), the medium was replaced with DMEM without FBS. Untreated RAW264.7 cells were incubated with 50- or 100-μM EPS.

Assessment of cytotoxicity

Cell viability was assessed by CellTiter 96® Aqueous One Solution Cell Proliferation Assay (MTS assay) from Promega (Madison, WI, USA). Briefly, RAW264.7 cells treated or not treated with LPS (100 ng/mL) on 96-well plates were incubated with 50- or 100-μM EPS for 4 h at 37°C. After the medium was removed, cells remaining on 96-well plates were washed with FBS-free DMEM and incubated with fresh DMEM (100 μL) and MTS assay solution (10 μL) for 60 min at 37°C. The produced MTS formazan was measured at 490 nm with a Bio-Rad Model 680 microplate reader (Hercules, CA, USA). Cell death was assessed by measuring lactate dehydrogenase (LDH) release. After RAW264.7 cells treated or not treated with LPS (100 ng/mL) on 48-well plates were incubated with 50- or 100-μM EPS for 4 h at 37°C, LDH release was measured with Cytotoxicity LDH Assay Kit-WST (Dojindo Laboratories, Kumamoto, Japan) according to the manufacturer’s protocol.

Measurement of mRNA levels

Quantitative Reverse transcription polymerase chain reaction (RT-PCR) analysis was used to measure mRNA levels. Total RNA from the treated cells was extracted with a FastGene™ RNA Basic Kit (Nippon Genetics Co. Ltd., Tokyo, Japan) according to the manufacturer’s protocol. mRNAs were reverse-transcribed into cDNA with a high-capacity cDNA reverse transcription kit (Applied Biosystems, Foster City, CA, USA). Quantitative RT-PCR was performed with a 7500 Fast real-time PCR system (Applied Biosystems). Primers for mouse IL-1β, mouse IL-6, mouse TNFα, and mouse Nos2 (iNOS) were purchased from Applied Biosystems. mRNA levels were acquired from the values of the threshold cycle (Ct) of IL-1β, IL-6, TNFα, or Nos2 normalized to that of Glyceraldehyde 3-phosphate dehydrogenase (GAPDH). Relative mRNA levels were compared and expressed as percentage of control levels.

Measurement of protein levels

IL-1β, IL-6, TNFα, phospho-NF-κB (p-NF-κB), NF-κB, phospho-p38 (p-p38), p38, phospho-c-Jun N-terminal kinase (p-JNK), JNK, phospho-extracellular signal-regulated kinase (p-ERK), and ERK protein levels were analyzed by western blotting. RAW264.7 cells treated or not treated with LPS (100 ng/mL) were incubated with 50- or 100-μM EPS for 4 h. After the medium was removed, the cells were washed with Dulbecco’s phosphate buffered saline (DPBS) and lysed in lysis buffer (50 mM HEPES [pH 7.4], 5-mM EDTA, 120-mM NaCl, 1% Triton X-100, protease inhibitors [10 μg/mL aprotinin, 1-mM phenylmethylsulfonyl fluoride, 10-μg/mL leupeptin] and phosphatase inhibitors [50-mM sodium fluoride, 1-mM sodium orthovanadate, 10-mM sodium pyro-phosphate]). The lysate was centrifuged at 10,000×g for 15 min and 20–50 μg of protein in the supernatant was resolved by 12% sodium dodecyl sulfate polyacrylamide gel electrophoresis (SDS-PAGE). The separated proteins were blotted onto a polyvinylidene difluoride (PVDF) membrane. The membrane was incubated with the following primary antibodies: anti-mouse IL-1β, anti-rabbit IL-6, anti-rabbit TNFα, anti- rabbit p-NF-κB, anti-rabbit NF-κB, anti- rabbit p-p38, anti-rabbit p-38, anti-rabbit p-JNK, anti-rabbit JNK, anti-rabbit p-ERK, and anti-rabbit ERK (all from Cell Signaling Technology, Danvers, MA, USA), and anti-mouse β-actin polyclonal antibody (Sigma-Aldrich). Following primary antibody incubation, the membrane was incubated with horseradish-peroxidase (HRP)-conjugated secondary antibodies. Chemiluminescence was detected with Immobilon (Merck, Darmstadt, Germany). Data are representative of three experiments.

Measurement of nitric oxide

RAW264.7 cells treated or not treated with LPS (100 ng/mL) were incubated with 50- or 100-μM EPS for 24 h at 37°C. Production of NO was determined by assessing nitrite level in culture media with a NO2/NO3 Assay Kit-C II (Dojindo Laboratories) according to the manufacturer’s protocol.

Statistical Analysis

All experiments were performed independently at least three times. Data were combined and expressed as mean values ± standard deviations (SD). Statistical significance was determined using two-way analysis of variance (ANOVA) with Tukey’s multiple comparison test; P < 0.05 was considered significant.

Results

Effect of EPS on LPS-stimulated RAW264.7 cells

We first evaluated the cytotoxicity of EPS with MTS assay and LDH release assay using LPS-stimulated RAW264.7 cells. MTS assay and LDH release assay indicate cell viability and cell death, respectively. MTS assay and LDH release assay were performed in cells treated or not treated with LPS (100 ng/mL) and incubated with 50- or 100-μM EPS for 4 h. As shown in Figure 1, EPS at 50- and 100-µM had no effect on RAW264.7 cells treated or not treated with LPS.

Figure 1 Effect of EPS on LPS-stimulated RAW264.7 cells. (A) RAW264.7 cells treated or not treated with LPS (100 ng/mL) were incubated with 50- or 100-μM EPS for 4 h. Cell viability was assessed by MTS assay. Values are mean values ± SD of six experiments. (B) RAW264.7 cells treated or not treated with LPS (100 ng/mL) were incubated with 50- or 100-μM EPS for 4 h. Cell death was assessed by measuring LDH release. Values are mean values ± SD of three experiments.

Effect of EPS on LPS-induced pro-inflammatory cytokines

IL-1β, IL-6, and TNFα are the major pro-inflammatory cytokines released by activated macrophages. We investigated the effect of EPS on pro-inflammatory cytokine levels in LPS-stimulated RAW264.7 cells. Figure 2 shows that mRNA and protein expression levels of IL-1β, IL-6, and TNFα were dramatically increased in LPS-stimulated RAW264.7 cells. EPS significantly suppressed the mRNA expression levels of IL-1β and TNFα in a dose-dependent manner. Similarly, EPS suppressed the protein expression levels of IL-1β, IL-6, and TNFα in a dose-dependent manner. These results suggest that EPS suppressed LPS-induced inflammatory response in RAW264.7 cells.

Figure 2 Effect of EPS on pro-inflammatory cytokine levels. RAW264.7 cells treated or not treated with LPS (100 ng/mL) were incubated with 50- or 100-μM EPS for 4 h. (A, C, and E) Pro-inflammatory cytokine mRNA and (B, D, and F) protein levels were measured. Values are mean values ± SD of three experiments. *Significant difference (P < 0.05).

Effect of EPS on LPS-induced inflammatory mediators

Production of NO due to cytokine-induced expression of iNOS is largely involved in the pathophysiology of inflammation.1921 As shown in Figure 3, iNOS mRNA expression levels and NO production were markedly increased after LPS stimulation. EPS dramatically suppressed iNOS mRNA expression levels and NO production in RAW264.7 cells stimulated with LPS (Figures 3A and 3B). The transcription factor NF-κB is a prominent regulator of immune and inflammatory responses and is highly involved in the pathophysiology of cancer.2224 EPS did not inhibit the phosphorylation of NF-κB but promoted the degradation of the protein expression levels of NF-κB in LPS-stimulated RAW264.7 cells (Figure 3C).

Figure 3 Effect of EPS on inflammatory mediator levels. RAW264.7 cells treated or not treated with LPS (100 ng/mL) were incubated with 50- or 100-μM EPS for 4 or 24 h. (A) iNOS mRNA expression; (B) NO production; and (C) NF-κB protein expression levels were measured. Values are mean values ± SD of three experiments. *Significant difference (P < 0.05).

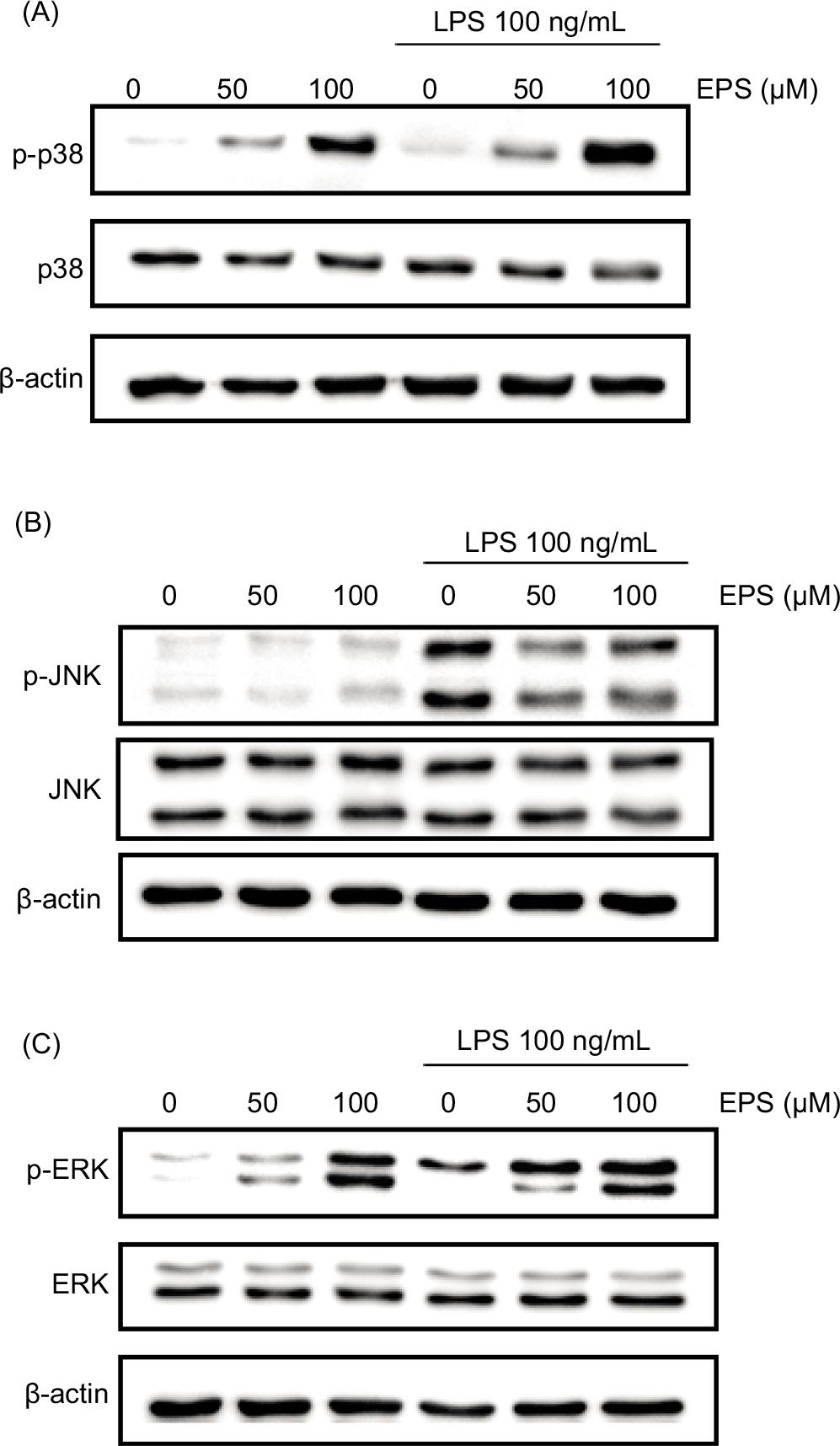
Effect of EPS on LPS-induced MAPK activation

It has been reported that mitogen-activated protein kinases (MAPKs) play important roles in controlling inflammatory response through the production of inflammatory mediators.25 We examined the effect of EPS on MAPK activated by LPS. The phosphorylation of JNK and ERK was increased by LPS-induced stimulation, indicating that LPS activated the MAPK signaling pathway (Figures 4B and 4C). In addition, Figure 4B shows that EPS suppressed the phosphorylation of JNK.

Figure 4 Effect of EPS on MAPK protein levels. RAW264.7 cells treated or not treated with LPS (100 ng/mL) were incubated with 50- or 100-μM EPS for 4 h. (A) p38, (B) JNK, and (C) ERK protein expression levels were measured.

Discussion

Epalrestat is the only aldose reductase inhibitor approved in Japan in 1992. EPS is used for the treatment of diabetic neuropathy. The usual dose of EPS is 50 mg orally three times a day. The plasma EPS concentration of 3.9 µg/ mL (12 µM) was observed 1 h after its single oral dose of 50 mg.26 EPS at 50 µM and 100 µM had no effect on RAW264.7 cells treated or not treated with LPS (Figure 1). EPS, whose safety and pharmacokinetics have been confirmed clinically, is expected to be useful for the treatment of various diseases. In the present study, we demonstrated for the first time that EPS at near-plasma concentration suppresses inflammatory response in LPS-stimulated RAW264.7 cells.

Lipopolysaccharide-stimulated RAW264.7 cells induce a rapid inflammatory response and release a number of pro-inflammatory cytokines (IL-1β, IL-6, and TNFα).27 Furthermore, these inflammatory mediators themselves can enhance inflammation, for example, by inducing danger-associated molecular patterns (DAMPs).28,29 Excessive inflammatory cytokine production can lead to tissue damage, hemodynamic changes, organ failure, and ultimately death.30 Therefore, it is important to regulate the expression of pro-inflammatory cytokines in inflammatory response.31 Figure 2 shows that the mRNA and protein expression levels of IL-1β, IL-6, and TNFα were dramatically increased in RAW264.7 cells stimulated with LPS, which induced inflammatory response. EPS significantly suppressed the mRNA expression levels of IL-1β and TNFα in a dose-dependent manner. The mRNA expression levels of IL-1β and TNFα in cells treated with EPS were reduced by more than 70% compared with those in cells without EPS. These results suggest that EPS may protect RAW264.7 cells from LPS-induced inflammatory injury.

Nitric Oxide is a biological signaling and effector molecule that regulates the expression of pro-inflamma-tory cytokines.32 Inflammatory injury is thought to result from NO-induced overproduction of pro-inflammatory cytokines.32,33 iNOS catalyzes the oxidative deamination of L-arginine and mediates NO production.34 Therefore, the regulation of iNOS is expected to be a potential therapeutic approach to treat inflammatory injury. EPS dramatically suppressed iNOS mRNA expression levels and NO production in RAW264.7 cells stimulated with LPS (Figures 3A and 3B). These results indicate that EPS could effectively suppress LPS-induced inflammatory response and may be a potential therapeutic approach to treat inflammatory injury.

Moreover, we examined the effects of EPS on NF-κB and MAPK activities in LPS-stimulated RAW264.7 cells. NF-κB plays an important role in regulating inflammatory response by increasing the expression of inflammatory mediators and pro-inflammatory cytokines, such as iNOS, IL-1β, IL-6, and TNFα.6,35 The heterodimers of NF-κB components (p50/p65) are activated by the phosphorylation and degradation of κB inhibitor (IκB) under LPS-induced stimulation.36 As a result, NF-κB (p65), which is considered to play an important role in inflammation, translocates into the nucleus where it encodes various cytokines. As shown in Figure 3C, EPS did not inhibit the phosphorylation of NF-κB but promoted the degradation of protein expression levels in LPS-stimulated RAW264.7 cells. The MAPK signaling pathway plays an important role in regulating gene expression in eukaryotic cells. Three major groups of distinctly regulated MAPK cascades are known to alter gene expression in humans: p38, JNK, and ERK1/2. Similar to NF-κB, the MAPK signaling pathway is involved in LPS-induced iNOS expression.37 Moreover, it has been reported that NF-κB is a downstream component of MAPK signaling pathway.38 Therefore, inhibition of NF-κB and MAPK pathways may be a potential therapeutic approach to treat inflammatory injury. In the present study, the phosphorylation of JNK and ERK1/2 was increased by LPS-induced stimulation, indicating that LPS activated the MAPK signaling pathway in RAW264.7 cells (Figures 4B and 4C). EPS treatment obviously suppressed the phosphorylation of JNK (Figures 4B). These results suggest that the anti-inflammatory effects of EPS are partially related to the inhibition of MAPK phosphorylation in LPS-stimulated RAW264.7 cells.

A recent study has established that Nrf2 contributes to the anti-inflammatory process and regulates gene expression via the antioxidant response element (ARE). The Nrf2 pathway primarily regulates anti-inflammatory gene expression and suppresses the progression of inflammation.39 Sulforaphane activates the intracellular antioxidant defense system via the Nrf2–ARE pathway and exerts an anti-inflammatory effect.13,14,40 Quercetin also attenuates an inflammatory response via the Nrf2–ARE pathway.41 Both of these are Nrf2 activators.42 In microglial cells, the activation of Nrf2 by sulforaphane and quercetin is an adaptive intracellular response to LPS-induced inflammatory response, and Nrf2 protects against inflammatory injury.14,41 Therefore, administration of Nrf2 activators may be an effective therapeutic strategy for treating inflammatory diseases.

Sulforaphane and quercetin regulate HO-1 expression levels via Nrf2.39,41 HO-1 is a representative Nrf2 target gene product and a stress-responsive enzyme with anti- inflammatory, antioxidant, and cytoprotective functions.43 The regulation and amplification of HO-1 is expected to lead to the development of therapeutic agents for various diseases.44 HO-1 has also become a potential target for anti-inflammatory therapy.45 Carbon monoxide produced by HO-1 inhibits the production of pro-inflammatory cytokines IL-1β, IL-6, and TNFα.46 It is expected that the upregulation of HO-1 by an Nrf2 activator, such as sulforaphane or quercetin, may be useful for the treatment of inflammatory diseases. In our previous work, we demonstrated that EPS upregulates HO-1 in rat Schwann cells and bovine aortic endothelial cells in association with the Nrf2 pathway.17,18 We expect that EPS would protect against inflammatory injury in the same manner as sulforaphane and quercetin. However, the specific mechanism underlying the protective effect of EPS via the Nrf2 pathway requires further investigation.

Conclusion

We demonstrated that EPS suppresses inflammatory response in LPS-stimulated RAW264.7 cells. Our findings led us to propose that targeting the regulation of pro-inflammatory cytokine levels and inflammatory mediator levels by EPS is a promising therapeutic approach to treat inflammatory injury. We expect that EPS, whose safety and pharmacokinetics have been confirmed clinically, would be useful for the treatment of inflammatory diseases.

Conflict of interest

The authors declare no potential conflicts of interest with respect to research, authorship and/or publication of this article.

REFERENCES

1. Mazgaeen L, Gurung P. Recent advances in lipopolysaccharide recognition systems. Int J Mol Sci. 2020;21(2):379. 10.3390/ijms21020379

2. Dong J, Li J, Cui L, Wang Y, Lin J, Qu Y, et al. Cortisol modulates inflammatory responses in LPS-stimulated RAW264.7 cells via the NF-κB and MAPK pathways.BMC Vet Res. 2018;14(1):30. 10.1186/s12917-018-1360-0

3. Zamora R, Vodovotz Y, Billiar TR. Inducible nitric oxide synthase and inflammatory diseases. Mol Med. 2000;6(5):347–73. 10.1007/BF03401781

4. Elinav E, Nowarski R, Thaiss CA, Hu B, Jin C, Flavell RA. Inflammation-induced cancer: Crosstalk between tumours, immune cells and microorganisms. Nat Rev Cancer. 2013;13(11):759–71. 10.1038/nrc3611

5. Donath MY. Targeting inflammation in the treatment of type 2 diabetes: Time to start. Nat Rev Drug Discov. 2014;13(6):465–76. 10.1038/nrd4275

6. Liu T, Zhang L, Joo D, Sun SC. NF-κB signaling in inflammation. Signal Transduct Target Ther. 2017;2:e17023. 10.1038/sigtrans.2017.23

7. Kensler TW, Wakabayashi N, Biswal S. Cell survival responses to environmental stresses via the Keap1-Nrf2-ARE pathway. Annu Rev Pharmacol Toxicol. 2007;47:89–116. 10.1146/annurev.pharmtox.46.120604.141046

8. Kalyanaraman B. Teaching the basics of redox biology to medical and graduate students: Oxidants, antioxidants and disease mechanisms. Redox Biol. 2013;1(1):244–57. 10.1016/j.redox.2013.01.014

9. Kansanen E, Kuosmanen SM, Leinonen H, Levonen AL. The Keap1-Nrf2 pathway: Mechanisms of activation and dysregulation in cancer. Redox Biol. 2013;1(1):45–9. 10.1016/j.redox.2012.10.001

10. Boyanapalli SSS, Gonzalez XP, Fuentes F, Zhang C, Guo Y, Pung D, et al. Nrf2 knockout attenuates the anti-inflammatory effects of phenethyl isothiocyanate and curcumin. Chem Res Toxicol. 2014;27(12):2036-43. 10.1021/tx500234h

11. Kalayarasan S, Prabhu PN, Sriram N, Manikandan R, Arumugam M, Sudhandiran G. Diallyl sulfide enhances anti-oxidants and inhibits inflammation through activation of Nrf2 against gentamicin-induced nephrotoxicity in Wistar rats. Eur J Pharmacol. 2009;606(1–3):162–71. 10.1016/j.ejphar.2008.12.055

12. Kobayashi EH, Suzuki T, Funayama R, Nagashima T, Hayashi M, Sekine H, et al. Nrf2 suppresses macrophage inflammatory response by blocking proinflammatory cytokine transcription. Nat Commun. 2016;7:11624. 10.1038/ncomms11624

13. Arita Y, Park HJ, Cantillon A, Verma K, Menon R, Getahun D, et al. Pro-and anti-inflammatory effects of sulforaphane on placental cytokine production. J Reprod Immunol. 2019;131:44–9. 10.1016/j.jri.2018.12.003

14. Subedi L, Lee JH, Yumnam S, Ji E, Kim SY. Anti-inflammatory effects of sulforaphane on LPS-activated microglia potentially through JNK/AP-1/NF-κB inhibition and Nrf2/HO-1 activation. Cells. 2019;8(2):194. 10.3390/cells8020194

15. Steele JW, Faulds D, Goa KL. Epalrestat: A review of its pharmacology, and therapeutic potential in late-onset complications of diabetes mellitus. Drugs Aging.1993;3(6):532–55. 10.2165/00002512-199303060-00007

16. Sato K, Yama K, Murao Y, Tatsunami R, Tampo Y. Epalrestat increases intracellular glutathione levels in Schwann cells through transcription regulation. Redox Biol. 2013;2:15–21. 10.1016/j.redox.2013.11.003

17. Yama K, Sato K, Murao Y, Tatsunami R, Tampo Y. Epalrestat upregulates heme oxygenase-1, superoxide dismutase, and catalase in cells of nervous system. Biol Pharm Bull. 2016;39(9):1523–30. 10.1248/bpb.b16-00332

18. Yama K, Sato K, Abe N, Murao Y, Tatsunami R, Tampo Y. Epalrestat increases glutathione, thioredoxin, and heme oxygenase-1 by stimulating Nrf2 pathway in endothelial cells. Redox Biol. 2015;4:87–96. 10.1016/j.redox.2014.12.002

19. Yoo SY, Kwon SM. Angiogenesis and its therapeutic opportunities. Mediators Inflamm. 2013;2013:127170. 10.1155/2013/127170

20. Robinson MA, Baumgardner JE, Otto CM. Oxygen-dependent regulation of nitric oxide production by inducible nitric oxide synthase. Free Radic BiolMed. 2011;51(11):1952–65. 10.1016/j.freeradbiomed.2011.08.034

21. Pautz A, Art J, Hahn S, Nowag S, Voss C, Kleinert H. Regulation of the expression of inducible nitric oxide synthase. Nitric Oxide. 2010;23(2):75–93. 10.1016/j.niox.2010.04.007

22. Rayet B, Gélinas C. Aberrant rel/nfkb genes and activity in human cancer. Oncogene.1999;18(49):6938–47. 10.1038/sj.onc.1203221

23. Oeckinghaus A, Hayden MS, Ghosh S. Crosstalk in NF-κB signaling pathways. Nat Immunol. 2011;12(8):695–708. 10.1038/ni.2065

24. Ling J, Kumar R. Crosstalk between NF-κB and glucocorticoid signaling: A potential target of breast cancer therapy. Cancer Lett. 2012;322(2):119–26. 10.1016/j.canlet.2012.02.033

25. Jiang Y, Gong XW. Regulation of inflammatory responses by MAPK signal transduction pathways. Acta Physiologica Sinica. 2000;52(4):267–71.

26. Ono Pharmaceutical Co. Ltd. Kinedak (Epalrestat) package insert. Osaka, Japan: Ono Pharmaceutical Co.; 2009.

27. Fairweather D, Rose NR. Inflammatory heart disease: A role for cytokines. Lupus. 2005;14(9):646–51. 10.1191/0961203305lu2192oa

28. Kany S, Vollrath JT, Relja B. Cytokines in inflammatory disease. Int J Mol Sci. 2019;20(23):6008. 10.3390/ijms20236008

29. Porcherie A, Cunha P, Trotereau A, Roussel P, Gilbert FB, Rainard P, et al. Repertoire of Escherichia coli agonists sensed by innate immunity receptors of the bovine udder and mam-mary epithelial cells. Vet Res. 2012;43(1):14. 10.1186/1297-9716-43-14

30. Chen L, Deng H, Cui H, Fang J, Zuo Z, Deng J, et al. Inflammatory responses and inflammation-associated diseases in organs. Oncotarget. 2017;9(6):7204–18. 10.18632/oncotarget.23208

31. Sacks D, Baxter B, Campbell BCV, Carpenter JS, Cognard C, Dippel D, et al. Multisociety consensus quality improvement revised consensus statement for endovascular therapy of acute ischemic stroke. Int J Stroke. 2018;13(6):612–32. 10.1177/1747493018778713

32. Raykova VD, Glibetic M, Ofenstein JP, Aranda JVA. Nitric oxide-dependent regulation of pro-inflammatory cytokines in group B streptococcal inflammation of rat lung. Ann Clin Lab Sci. 2003;33(1):62–7.

33. Zhang QS, Heng Y, Yuan YH, Chen NH. Pathological α-synuclein exacerbates the progression of Parkinson’s disease through microglial activation.Toxicol Lett. 2017;265:30–7. 10.1016/j.toxlet.2016.11.002

34. Habib S, Ali A. Biochemistry of nitic oxide. Indian J Clin Biochem. 2011;26(1):3–17. 10.1007/s12291-011-0108-4

35. Shao J, Li Y, Wang Z, Xiao M, Yin P, Lu Y, et al. 7b, a novel naphthalimide derivative, exhibited anti-inflammatory effects via targeted-inhibiting TAK1 following down-regulation of ERK1/2-and p38 MAPK-mediated activation of NF-κB in LPS-stimulated RAW264.7 macrophages.Int Immunopharmacol. 2013;17(2):216–28. 10.1016/j.intimp.2013.06.00

36. Bonizzi G, Karin M. The two NF-kB activation pathways and their role in innate and adaptive immunity. Trends Immunol. 2004;25(6):280–8. 10.1016/j.it.2004.03.008

37. Yodkeeree S, Ooppachai C, Pompimon W, Dejkriengkraikul PL. O-Methylbulbocapnine and dicentrine suppress LPS-induced inflammatory response by blocking NF-κB and AP-1 activation through inhibiting MAPKs and Akt signaling in RAW264.7 macrophages.Biol Pharm Bull. 2018;41(8):1219–27. 10.1248/bpb.b18-00037

38. Sun P, Zhou K, Wang S, Li P, Chen S, Lin G, et al. Involvement of MAPK/NF-κB signaling in the activation of the cholinergic anti-inflammatory pathway in experimental colitis by chronic vagus nerve stimulation. PLoS One. 2013;8(8):e69424. 10.1371/journal.pone.0069424

39. Ahmed SMU, Luo L, Namani A, Wang XJ, Tang X. Nrf2 signaling pathway: Pivotal roles in inflammation. Biochim Biophys Acta. 2017;1863(2):585–97. 10.1016/j.bbadis.2016.11.005

40. Mizuno K, Kume T, Muto C, Takatori YT, Izumi Y, Sugimoto H, et al. Glutathione biosynthesis via activation of the nuclear factor E2-related factor 2 (Nrf2)-antioxidant-response element (ARE) pathway is essential for neuroprotective effects of sulforaphane and 6-(methylsulfinyl) hexyl isothiocyanate. J Pharmacol Sci. 2011;115(3):320–8. 10.1254/JPHS.10257FP

41. Sun GY, Chen Z, Jasmer KJ, Chuang DY, Gu Z, Hannink M, et al. Quercetin attenuates inflammatory responses in BV-2 microglial cells: Role of MAPKs on the Nrf2 pathway and induction of heme oxygenase-1. PLoS One. 2015;10(10):e0141509. 10.1371/journal.pone.0141509

42. Bahar E, Kim JY, Yoon H. Quercetin attenuates manganese-induced neuroinflammation by alleviating oxidative stress through regulation of apoptosis, iNOS/NF-κB and HO-1/ Nrf2 pathways. Int J Mol Sci. 2017;18(9):1989. 10.3390/ijms18091989

43. Kraft AD, Johnson DA, Johnson JA. Nuclear factor E2-related factor 2-dependent antioxidant response element activation by tert-butylhydroquinone and sulforaphane occurring preferentially in astrocytes conditions neurons against oxidative insult. J Neurosci. 2004;24(5):1101–12. 10.1523/JNEUROSCI.3817-03.2004

44. Motterlini R, Foresti R. Heme oxygenase-1 as a target for drug discovery. Antioxid Redox Signal. 2014;20(11):1810–26. 10.1089/ars.2013.5658

45. Paine A, Vesper BE, Blasczyk R, Immenschuh S. Signaling to heme oxygenase-1 and its anti-inflammatory therapeutic potential. Biochem Pharmacol. 2010;80(12):1895–903. 10.1016/j.bcp.2010.07.014

46. Ryter SW. Heme oxygenase-1/carbon monoxide as modulators of autophagy and inflammation. Arch Biochem Biophys. 2019;678:108186. 10.1016/j.abb.2019.108186